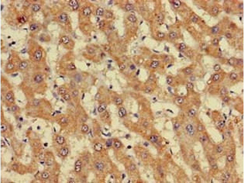
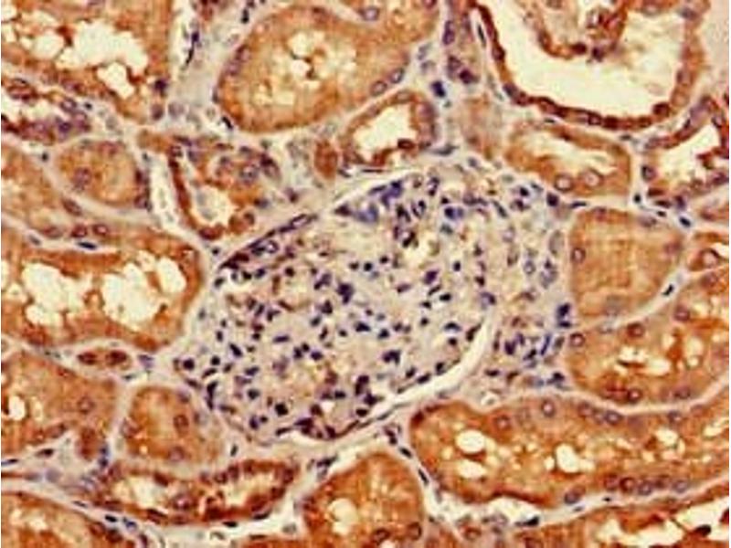
GIPC1 anticorps (AA 7-74)
Aperçu rapide pour GIPC1 anticorps (AA 7-74) (ABIN7162738)
Antigène
Voir toutes GIPC1 AnticorpsReactivité
Hôte
Clonalité
Conjugué
Application
-
-
Épitope
- AA 7-74
-
Fonction
- GIPC1 Antibody
-
Purification
- Protein G purified
-
Pureté
- >95 %
-
Immunogène
- Recombinant Human PDZ domain-containing protein GIPC1 protein (7-74AA)
-
Isotype
- IgG
-
-
-
-
Indications d'application
- Optimal working dilution should be determined by the investigator.
-
Restrictions
- For Research Use only
-
-
-
Format
- Liquid
-
Buffer
-
Preservative: 0.03 % Proclin 300
Constituents: 50 % Glycerol, 0.01M PBS, pH 7.4 -
Agent conservateur
- ProClin
-
Précaution d'utilisation
- This product contains ProClin: a POISONOUS AND HAZARDOUS SUBSTANCE which should be handled by trained staff only.
-
Stock
- -20 °C,-80 °C
-
Stockage commentaire
- Upon receipt, store at -20°C or -80°C. Avoid repeated freeze.
-
-
- GIPC1 (GIPC PDZ Domain Containing Family, Member 1 (GIPC1))
-
Autre désignation
- GIPC1
-
Sujet
-
Background: May be involved in G protein-linked signaling.
Aliases: GIPC1 antibody, C19orf3 antibody, GIPC antibody, RGS19IP1PDZ domain-containing protein GIPC1 antibody, GAIP C-terminus-interacting protein antibody, RGS-GAIP-interacting protein antibody, RGS19-interacting protein 1 antibody, Synectin antibody, Tax interaction protein 2 antibody, TIP-2 antibody
-
UniProt
- O14908
-
Pathways
- Dicarboxylic Acid Transport
Antigène
-