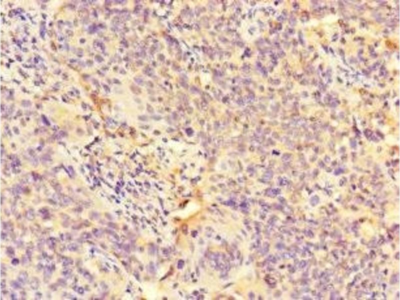
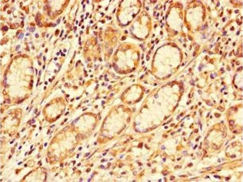
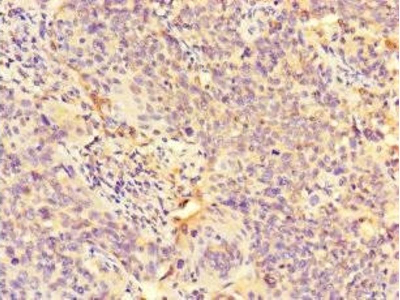
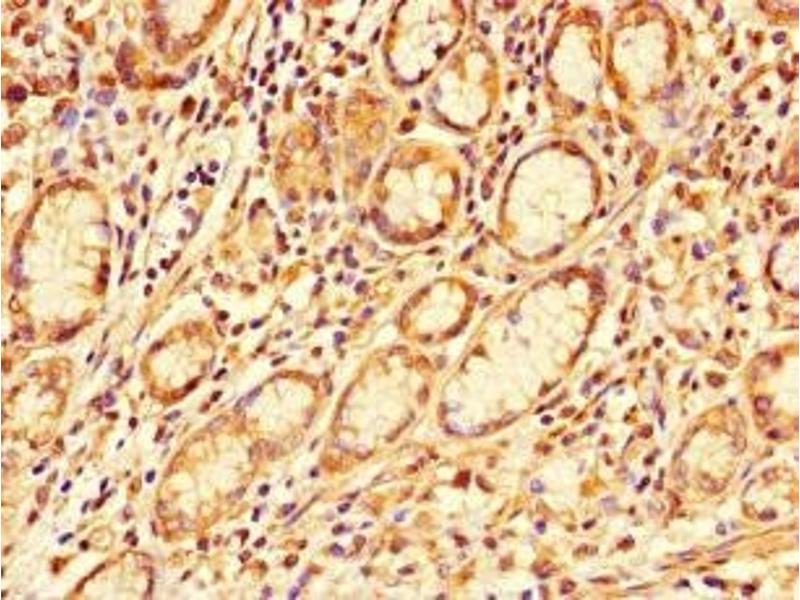
GALNT11 anticorps (AA 420-606)
Aperçu rapide pour GALNT11 anticorps (AA 420-606) (ABIN7163856)
Antigène
Reactivité
Hôte
Clonalité
Conjugué
Application
-
-
Épitope
- AA 420-606
-
Fonction
- GALNT11 Antibody
-
Purification
- Protein G purified
-
Pureté
- >95 %
-
Immunogène
- Recombinant Human Polypeptide N-acetylgalactosaminyltransferase 11 protein (420-606AA)
-
Isotype
- IgG
-
-
-
-
Indications d'application
- Optimal working dilution should be determined by the investigator.
-
Restrictions
- For Research Use only
-
-
-
Format
- Liquid
-
Buffer
-
Preservative: 0.03 % Proclin 300
Constituents: 50 % Glycerol, 0.01M PBS, PH 7.4 -
Agent conservateur
- ProClin
-
Précaution d'utilisation
- This product contains ProClin: a POISONOUS AND HAZARDOUS SUBSTANCE which should be handled by trained staff only.
-
Stock
- -20 °C,-80 °C
-
Stockage commentaire
- Upon receipt, store at -20°C or -80°C. Avoid repeated freeze.
-
-
- GALNT11 (UDP-N-Acetyl-alpha-D-Galactosamine:polypeptide N-Acetylgalactosaminyltransferase 11 (GalNAc-T11) (GALNT11))
-
Autre désignation
- GALNT11
-
Sujet
-
Background: Polypeptide N-acetylgalactosaminyltransferase that catalyzes the initiation of protein O-linked glycosylation and is involved in left/right asymmetry by mediating O-glycosylation of NOTCH1. O-glycosylation of NOTCH1 promotes activation of NOTCH1, modulating the balance between motile and immotile (sensory) cilia at the left-right organiser (LRO). Polypeptide N-acetylgalactosaminyltransferases catalyze the transfer of an N-acetyl-D-galactosamine residue to a serine or threonine residue on the protein receptor. Displays the same enzyme activity toward MUC1, MUC4, and EA2 than GALNT1. Not involved in glycosylation of erythropoietin (EPO).
Aliases: A430075I06Rik antibody, AI648252 antibody, E430002F06Rik antibody, FLJ21634 antibody, GalNAc Transferase 11 antibody, GalNAc-T11 antibody, GalNAcT11 antibody, GALNT11 antibody, GLT11_HUMAN antibody, MGC71630 antibody, Polypeptide GalNAc transferase 11 antibody, Polypeptide N-acetylgalactosaminyltransferase 11 antibody, pp-GaNTase 11 antibody, Protein-UDP acetylgalactosaminyltransferase 11 antibody, tcag7.1057 antibody, UDP-GalNAc:polypeptide N-acetylgalactosaminyltransferase 11 antibody, UDP-N-acetyl-alpha-D-galactosamine:polypeptide N-acetylgalactosaminyltransferase 11 (GalNAc-T11) antibody
-
UniProt
- Q8NCW6
Antigène
-