Tel:
+49 (0)241 95 163 153
Fax:
+49 (0)241 95 163 155
E-Mail:
orders@anticorps-enligne.fr

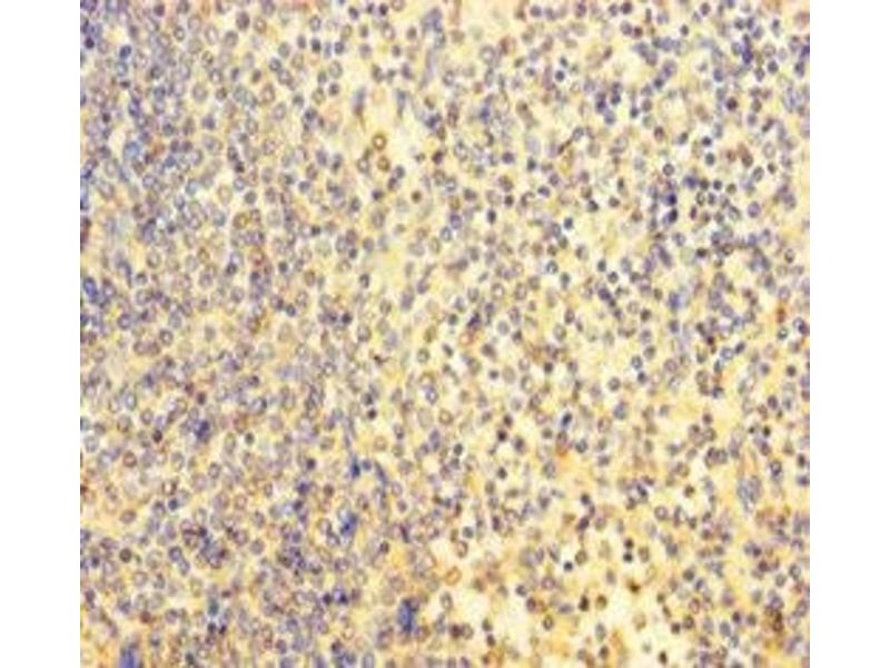
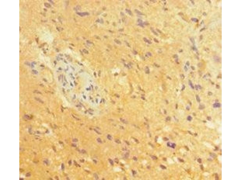
POU3F2 anticorps (AA 1-443)

Cet anticorps anti-POU3F2 Polyclonal Lapin (ABIN7164055) détecte spécifiquement POU3F2 dans ELISA et IHC. L’anticorps est réactif avec des échantillons de Humain.
N° du produit ABIN7164055
328,90 €
Plus frais de livraison 40,00 € et TVA
Destination: France
Envoi sous 11 à 15 jours ouvrables

Aperçu rapide pour POU3F2 anticorps (AA 1-443) (ABIN7164055)

Antigène

Voir toutes POU3F2 Anticorps
POU3F2 (POU Class 3 Homeobox 2 (POU3F2))

Reactivité

  • 35
  • 13
  • 12
  • 6
  • 3
  • 3
  • 3
  • 2
  • 1
  • 1
  • 1
Humain

Hôte

  • 29
  • 5
  • 1
Lapin

Clonalité

  • 31
  • 4
Polyclonal

Conjugué

  • 26
  • 3
  • 2
  • 2
  • 1
  • 1
Cet anticorp POU3F2 est non-conjugé

Application

  • 30
  • 20
  • 6
  • 4
  • 2
  • 2
  • 2
  • 1
  • 1
  • 1
ELISA, Immunohistochemistry (IHC)
  • Épitope

    • 7
    • 5
    • 4
    • 2
    • 2
    • 2
    • 1
    • 1
    • 1
    • 1
    • 1
    • 1
    • 1
    • 1
    • 1
    AA 1-443

    Fonction

    POU3F2 Antibody

    Purification

    Protein G purified

    Pureté

    >95 %

    Immunogène

    Recombinant Human POU domain, class 3, transcription factor 2 protein (1-443AA)

    Isotype

    IgG
  • Indications d'application

    Optimal working dilution should be determined by the investigator.

    Restrictions

    For Research Use only
  • Format

    Liquid

    Buffer

    Preservative: 0.03 % Proclin 300
    Constituents: 50 % Glycerol, 0.01M PBS, PH 7.4

    Agent conservateur

    ProClin

    Précaution d'utilisation

    This product contains ProClin: a POISONOUS AND HAZARDOUS SUBSTANCE which should be handled by trained staff only.

    Stock

    -20 °C,-80 °C

    Stockage commentaire

    Upon receipt, store at -20°C or -80°C. Avoid repeated freeze.
  • Antigène

    POU3F2 (POU Class 3 Homeobox 2 (POU3F2))

    Autre désignation

    POU3F2

    Sujet

    Background: Transcription factor that binds preferentially to the recognition sequence which consists of two distinct half-sites, (\'GCAT\') and (\'TAAT\'), separated by a nonconserved spacer region of 0, 2, or 3 nucleotides. Positively regulates the genes under the control of corticotropin-releasing hormone (CRH) and CRH II promoters (By similarity).

    Aliases: Brain 2 antibody, Brain specific homeobox/POU domain protein 2 antibody, Brain-2 antibody, Brain-specific homeobox/POU domain protein 2 antibody, BRN 2 antibody, Brn-2 antibody, BRN2 antibody, N Oct 3 antibody, N OCT 3 Gene antibody, N Oct3 antibody, Nervous system specific octamer binding transcription factor antibody, Nervous system-specific octamer-binding transcription factor N-Oct-3 antibody, OCT 7 antibody, Oct-7 antibody, OCT7 antibody, Octamer Binding Transcription Factor 7 antibody, Octamer-binding protein 7 antibody, Octamer-binding transcription factor 7 antibody, OTF 7 antibody, OTF-7 antibody, OTF7 antibody, PO3F2_HUMAN antibody, POU class 3 homeobox 2, antibody, POU domain class 3 transcription factor 2 antibody, POU domain, class 3, transcription factor 2 antibody, Pou3f2 antibody, POUF 3 antibody, POUF3 antibody, Protein Brn 2 antibody

    UniProt

    P20265
Vous êtes ici:
Chat with us!