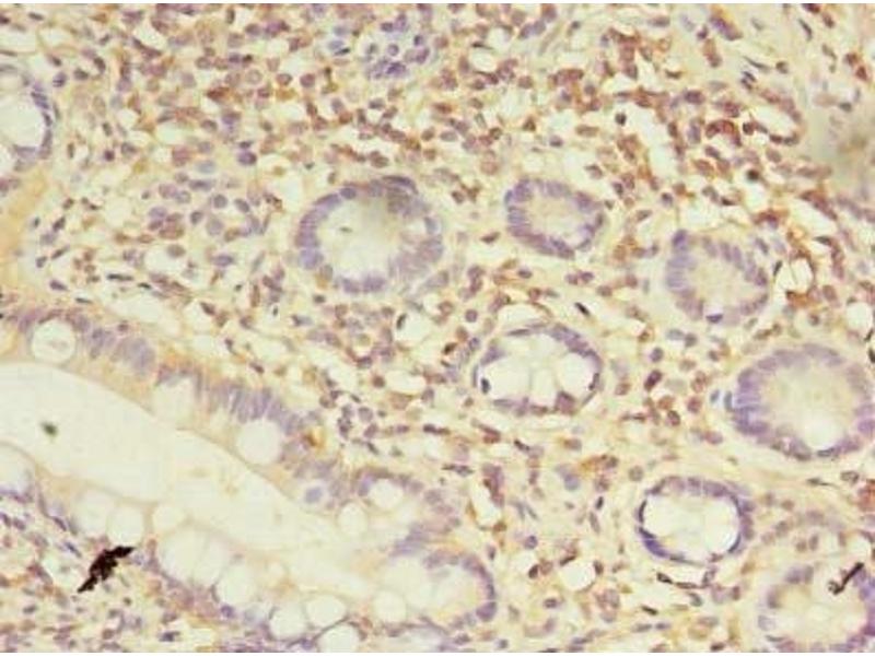
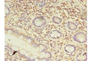
DDX31 anticorps (AA 560-851)
Aperçu rapide pour DDX31 anticorps (AA 560-851) (ABIN7164351)
Antigène
Voir toutes DDX31 AnticorpsReactivité
Hôte
Clonalité
Conjugué
Application
-
-
Épitope
- AA 560-851
-
Fonction
- DDX31 Antibody
-
Purification
- Protein G purified
-
Pureté
- >95 %
-
Immunogène
- Recombinant Human Probable ATP-dependent RNA helicase DDX31 protein (560-851AA)
-
Isotype
- IgG
-
-
-
-
Indications d'application
- Optimal working dilution should be determined by the investigator.
-
Restrictions
- For Research Use only
-
-
-
Format
- Liquid
-
Buffer
-
Preservative: 0.03 % Proclin 300
Constituents: 50 % Glycerol, 0.01M PBS, PH 7.4 -
Agent conservateur
- ProClin
-
Précaution d'utilisation
- This product contains ProClin: a POISONOUS AND HAZARDOUS SUBSTANCE which should be handled by trained staff only.
-
Stock
- -20 °C,-80 °C
-
Stockage commentaire
- Upon receipt, store at -20°C or -80°C. Avoid repeated freeze.
-
-
- DDX31 (DEAD (Asp-Glu-Ala-Asp) Box Polypeptide 31 (DDX31))
-
Autre désignation
- DDX31
-
Sujet
-
Background: Probable ATP-dependent RNA helicase (By similarity). Plays a role in ribosome biogenesis and TP53/p53 regulation through its interaction with NPM1 (PubMed:23019224).
Aliases: DDX31Probable ATP-dependent RNA helicase DDX31 antibody, EC 3.6.4.13 antibody, DEAD box protein 31 antibody, Helicain antibody
-
UniProt
- Q9H8H2
Antigène
-