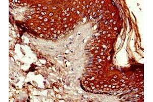
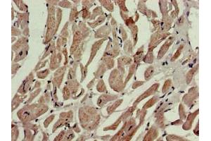
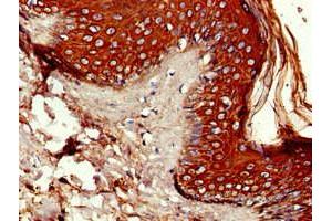
P4HA1 anticorps (AA 256-525)
Aperçu rapide pour P4HA1 anticorps (AA 256-525) (ABIN7164781)
Antigène
Voir toutes P4HA1 AnticorpsReactivité
Hôte
Clonalité
Conjugué
Application
-
-
Épitope
- AA 256-525
-
Fonction
- P4HA1 Antibody
-
Réactivité croisée
- Rat
-
Purification
- Protein G purified
-
Pureté
- >95 %
-
Immunogène
- Recombinant Human Prolyl 4-hydroxylase subunit alpha-1 protein (256-525AA)
-
Isotype
- IgG
-
-
-
-
Indications d'application
- Optimal working dilution should be determined by the investigator.
-
Restrictions
- For Research Use only
-
-
-
Format
- Liquid
-
Buffer
-
Preservative: 0.03 % Proclin 300
Constituents: 50 % Glycerol, 0.01M PBS, pH 7.4 -
Agent conservateur
- ProClin
-
Précaution d'utilisation
- This product contains ProClin: a POISONOUS AND HAZARDOUS SUBSTANCE which should be handled by trained staff only.
-
Stock
- -20 °C,-80 °C
-
Stockage commentaire
- Upon receipt, store at -20°C or -80°C. Avoid repeated freeze.
-
-
- P4HA1 (Prolyl 4-Hydroxylase, alpha Polypeptide I (P4HA1))
-
Autre désignation
- P4HA1
-
Sujet
-
Background: Catalyzes the post-translational formation of 4-hydroxyproline in -Xaa-Pro-Gly- sequences in collagens and other proteins.
Aliases: 2-oxoglutarate-4-dioxygenase subunit alpha-1 antibody, 4-hydroxylase, alpha I subunit antibody, 4-PH alpha-1 antibody, P4HA antibody, P4HA1 antibody, P4HA1_HUMAN antibody, Procollagen-proline antibody, Procollagen-proline, 2-oxoglutarate 4-dioxygenase (proline 4-hydroxylase), alpha polypeptide I antibody, Prolyl 4-hydroxylase subunit alpha-1 antibody
-
UniProt
- P13674
Antigène
-