Tel:
+49 (0)241 95 163 153
Fax:
+49 (0)241 95 163 155
E-Mail:
orders@anticorps-enligne.fr

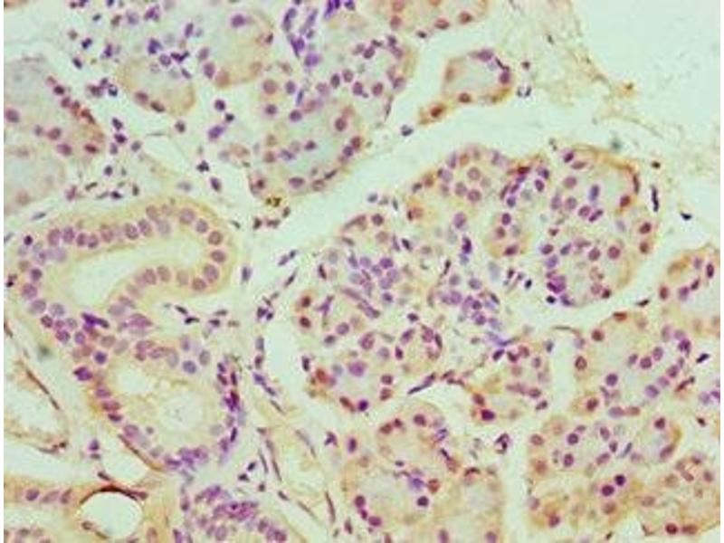
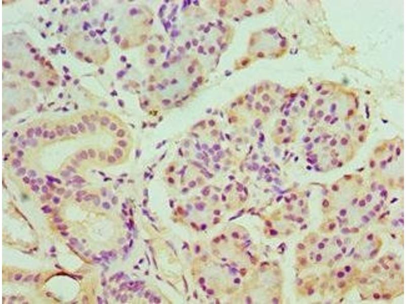
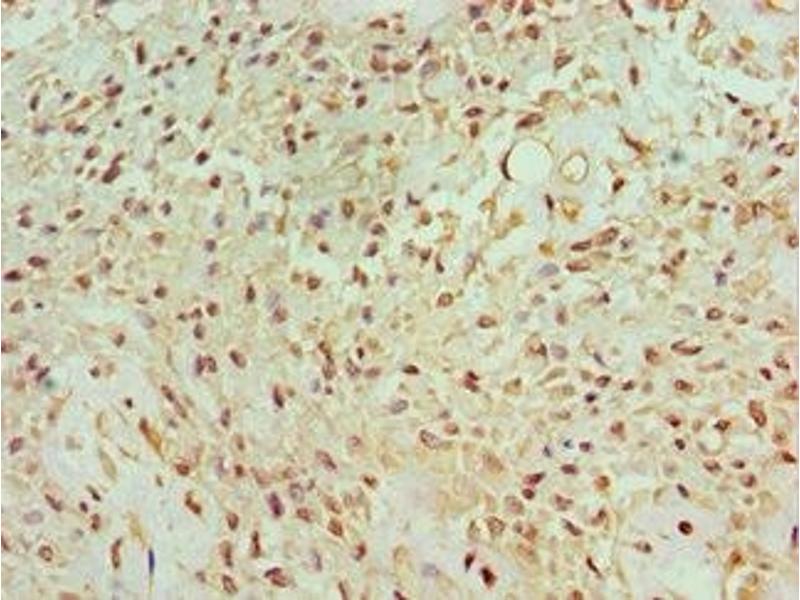
BANP anticorps (AA 1-260)

L’anticorps anti-BANP Polyclonal Lapin est utilisé pour la détection de BANP dans des échantillons de Humain. Il a été validé pour WB, ELISA et IHC.
N° du produit ABIN7165122
328,90 €
Plus frais de livraison 40,00 € et TVA
Destination: France
Envoi sous 11 à 15 jours ouvrables

Aperçu rapide pour BANP anticorps (AA 1-260) (ABIN7165122)

Antigène

Voir toutes BANP Anticorps
BANP (Protein BANP (BANP))

Reactivité

  • 15
  • 8
  • 6
  • 3
  • 3
  • 3
  • 2
  • 2
  • 1
  • 1
Humain

Hôte

  • 10
  • 5
Lapin

Clonalité

  • 12
  • 3
Polyclonal

Conjugué

  • 15
Cet anticorp BANP est non-conjugé

Application

  • 14
  • 5
  • 4
  • 3
  • 2
  • 1
  • 1
  • 1
  • 1
Western Blotting (WB), ELISA, Immunohistochemistry (IHC)
  • Épitope

    • 4
    • 2
    • 1
    • 1
    • 1
    • 1
    • 1
    • 1
    AA 1-260

    Fonction

    BANP Antibody

    Purification

    Antigen Affinity Purified

    Immunogène

    Recombinant Human Protein BANP protein (1-260AA)

    Isotype

    IgG
  • Indications d'application

    Optimal working dilution should be determined by the investigator.

    Restrictions

    For Research Use only
  • Format

    Liquid

    Buffer

    PBS with 0.02 % sodium azide, 50 % glycerol, pH 7.3.

    Agent conservateur

    Sodium azide

    Précaution d'utilisation

    This product contains Sodium azide: a POISONOUS AND HAZARDOUS SUBSTANCE which should be handled by trained staff only.

    Stock

    -20 °C,-80 °C

    Stockage commentaire

    Upon receipt, store at -20°C or -80°C. Avoid repeated freeze.
  • Antigène

    BANP (Protein BANP (BANP))

    Autre désignation

    BANP

    Sujet

    Background: Controls V(D)J recombination during T-cell development by repressing T-cell receptor (TCR) beta enhancer function. Binds to scaffold/matrix attachment region beta (S/MARbeta), an ATC-rich DNA sequence located upstream of the TCR beta enhancer. Represses cyclin D1 transcription by recruiting HDAC1 to its promoter, thereby diminishing H3K9ac, H3S10ph and H4K8ac levels. Promotes TP53 \\\'Ser-15\\\' phosphorylation and nuclear accumulation, which causes cell cycle arrest.

    Aliases: AAH09424 antibody, Banp antibody, BANP_HUMAN antibody, BEN domain-containing protein 1 antibody, BEND1 antibody, BTG3 associated nuclear protein isoform a antibody, Btg3-associated nuclear protein antibody, DKFZp761H172 antibody, FLJ 10177 antibody, FLJ 20538 antibody, FLJ10177 antibody, FLJ20538 antibody, Protein BANP antibody, Scaffold/Matrix associated region 1 antibody, Scaffold/matrix-associated region-1-binding protein antibody, SMAR 1 antibody, SMAR1 antibody, SMARBP 1 antibody, SMARBP1 antibody

    UniProt

    Q8N9N5
Vous êtes ici:
Chat with us!