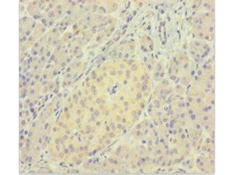
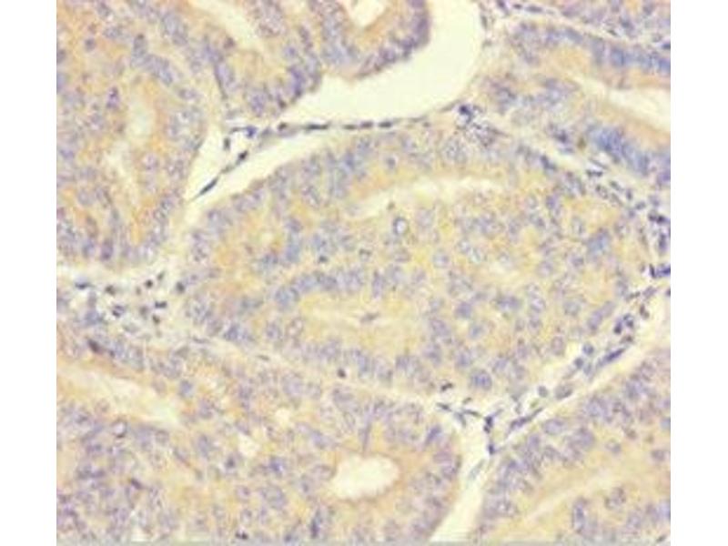
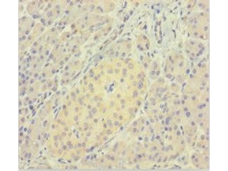
LMAN1L anticorps (AA 26-462)
Cet anticorps Lapin Polyclonal détecte spécifiquement LMAN1L dans ELISA et IHC. Il présente une réactivité avec des échantillons de Humain.
N° du produit ABIN7165325
394,68 €
Plus frais de livraison 40,00 € et TVA
Envoi sous 11 à 15 jours ouvrables
Aperçu rapide pour LMAN1L anticorps (AA 26-462) (ABIN7165325)
Antigène
Voir toutes LMAN1L Anticorps
LMAN1L
(Lectin, Mannose-Binding 1 Like (LMAN1L))
Reactivité
Humain
Hôte
Lapin
Clonalité
Polyclonal
Conjugué
Cet anticorp LMAN1L est non-conjugé
Application
ELISA, Immunohistochemistry (IHC)
-
-
Épitope
-
AA 26-462
-
Fonction
-
LMAN1L Antibody
-
Purification
-
Protein G purified
-
Pureté
-
>95 %
-
Immunogène
-
Recombinant Human Protein ERGIC-53-like protein (26-462AA)
-
Isotype
-
IgG
-
-
-
Indications d'application
-
Optimal working dilution should be determined by the investigator.
-
Restrictions
-
For Research Use only
-
-
Format
-
Liquid
-
Buffer
-
Preservative: 0.03 % Proclin 300
Constituents: 50 % Glycerol, 0.01M PBS, PH 7.4
-
Agent conservateur
-
ProClin
-
Précaution d'utilisation
-
This product contains ProClin: a POISONOUS AND HAZARDOUS SUBSTANCE which should be handled by trained staff only.
-
Stock
-
-20 °C,-80 °C
-
Stockage commentaire
-
Upon receipt, store at -20°C or -80°C. Avoid repeated freeze.
-
Antigène
-
LMAN1L
(Lectin, Mannose-Binding 1 Like (LMAN1L))
-
Autre désignation
-
LMAN1L
-
Sujet
-
LMAN1L antibody, ERGL antibody, UNQ2784/PRO7174Protein ERGIC-53-like antibody, ERGIC53-like protein antibody, Lectin mannose-binding 1-like antibody, LMAN1-like protein antibody
-
UniProt
-
Q9HAT1
-