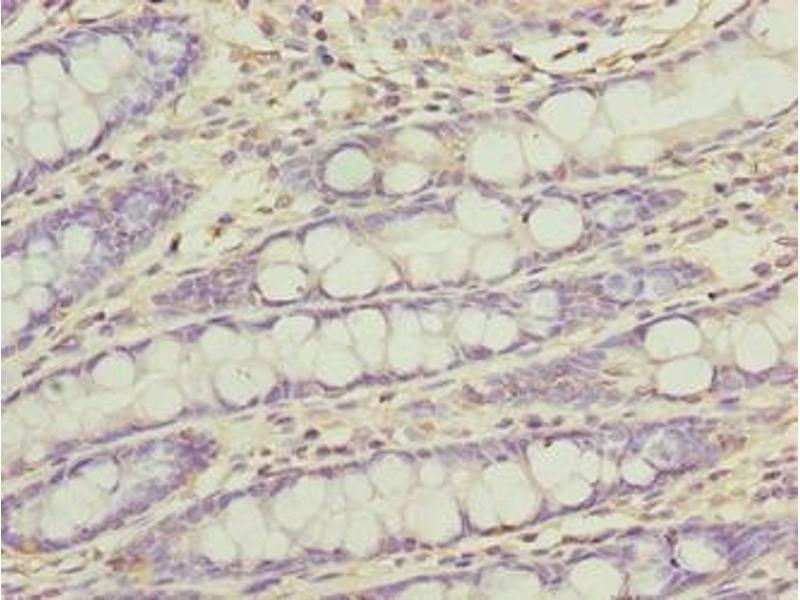
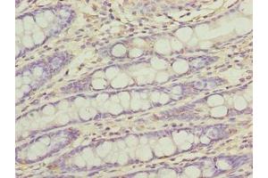
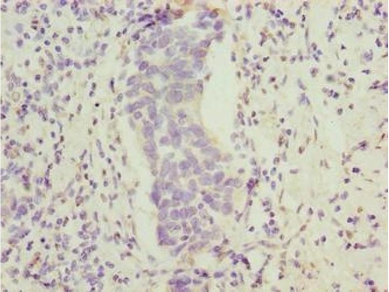
FAM222B anticorps (AA 351-562)
Aperçu rapide pour FAM222B anticorps (AA 351-562) (ABIN7165470)
Antigène
Reactivité
Hôte
Clonalité
Conjugué
Application
-
-
Épitope
- AA 351-562
-
Fonction
- FAM222B Antibody
-
Réactivité croisée
- Souris
-
Purification
- Protein G purified
-
Pureté
- >95 %
-
Immunogène
- Recombinant Human Protein FAM222B protein (351-562AA)
-
Isotype
- IgG
-
-
-
-
Indications d'application
- Optimal working dilution should be determined by the investigator.
-
Restrictions
- For Research Use only
-
-
-
Format
- Liquid
-
Buffer
-
Preservative: 0.03 % Proclin 300
Constituents: 50 % Glycerol, 0.01M PBS, PH 7.4 -
Agent conservateur
- ProClin
-
Précaution d'utilisation
- This product contains ProClin: a POISONOUS AND HAZARDOUS SUBSTANCE which should be handled by trained staff only.
-
Stock
- -20 °C,-80 °C
-
Stockage commentaire
- Upon receipt, store at -20°C or -80°C. Avoid repeated freeze.
-
-
- FAM222B (Family with Sequence Similarity 222, Member B (FAM222B))
-
Autre désignation
- FAM222B
-
Sujet
-
Background: nucleoplasm
Aliases: FAM222B antibody, C17orf63Protein FAM222B antibody
-
UniProt
- Q8WU58
Antigène
-