Tel:
+49 (0)241 95 163 153
Fax:
+49 (0)241 95 163 155
E-Mail:
orders@anticorps-enligne.fr

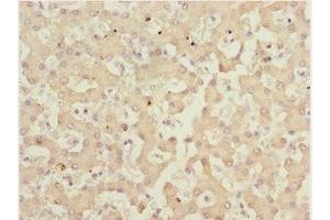
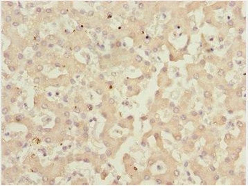
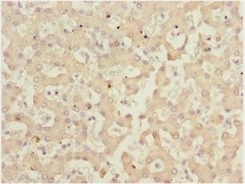
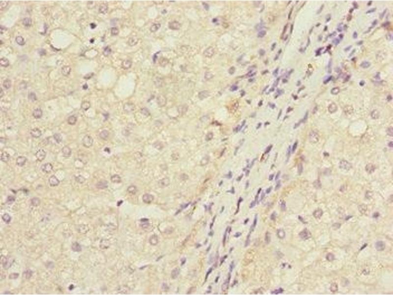
IWS1 anticorps (AA 570-819)

Cet anticorps Lapin Polyclonal détecte spécifiquement IWS1 dans WB, ELISA et IHC. Il présente une réactivité avec des échantillons de Humain.
N° du produit ABIN7165661
328,90 €
Plus frais de livraison 40,00 € et TVA
Destination: France
Envoi sous 11 à 15 jours ouvrables

Aperçu rapide pour IWS1 anticorps (AA 570-819) (ABIN7165661)

Antigène

IWS1 (IWS1 Homolog (IWS1))

Reactivité

  • 18
  • 14
  • 7
  • 1
  • 1
  • 1
  • 1
  • 1
  • 1
  • 1
Humain

Hôte

  • 18
Lapin

Clonalité

  • 17
Polyclonal

Conjugué

  • 11
  • 1
  • 1
  • 1
  • 1
  • 1
  • 1
  • 1
Cet anticorp IWS1 est non-conjugé

Application

  • 11
  • 4
  • 4
  • 3
  • 3
  • 1
Western Blotting (WB), ELISA, Immunohistochemistry (IHC)
  • Épitope

    • 3
    • 1
    • 1
    • 1
    • 1
    AA 570-819

    Fonction

    IWS1 Antibody

    Purification

    Antigen Affinity Purified

    Immunogène

    Recombinant Human Protein IWS1 homolog protein (570-819AA)

    Isotype

    IgG
  • Indications d'application

    Optimal working dilution should be determined by the investigator.

    Restrictions

    For Research Use only
  • Format

    Liquid

    Buffer

    PBS with 0.02 % sodium azide, 50 % glycerol, pH 7.3.

    Agent conservateur

    Sodium azide

    Précaution d'utilisation

    This product contains Sodium azide: a POISONOUS AND HAZARDOUS SUBSTANCE which should be handled by trained staff only.

    Stock

    -20 °C,-80 °C

    Stockage commentaire

    Upon receipt, store at -20°C or -80°C. Avoid repeated freeze.
  • Antigène

    IWS1 (IWS1 Homolog (IWS1))

    Autre désignation

    IWS1

    Sujet

    Background: Transcription factor which plays a key role in defining the composition of the RNA polymerase II (RNAPII) elongation complex and in modulating the production of mature mRNA transcripts. Acts as an assembly factor to recruit various factors to the RNAPII elongation complex and is recruited to the complex via binding to the transcription elongation factor SUPT6H bound to the C-terminal domain (CTD) of the RNAPII subunit RPB1 (POLR2A). The SUPT6H:IWS1:CTD complex recruits mRNA export factors (ALYREF/THOC4, EXOSC10) as well as histone modifying enzymes (such as SETD2) to ensure proper mRNA splicing, efficient mRNA export and elongation-coupled H3K36 methylation, a signature chromatin mark of active transcription.

    Aliases: DKFZp761G0123 antibody, FLJ10006 antibody, FLJ14655 antibody, FLJ32319 antibody, Interacts with Spt6 antibody, iws1 antibody, IWS1 homolog antibody, IWS1-like protein antibody, IWS1_HUMAN antibody, IWS1L antibody, MGC126375 antibody, MGC126376 antibody, OTTHUMP00000162262 antibody, Protein IWS1 homolog antibody

    UniProt

    Q96ST2
Vous êtes ici:
Chat with us!