Tel:
+49 (0)241 95 163 153
Fax:
+49 (0)241 95 163 155
E-Mail:
orders@anticorps-enligne.fr

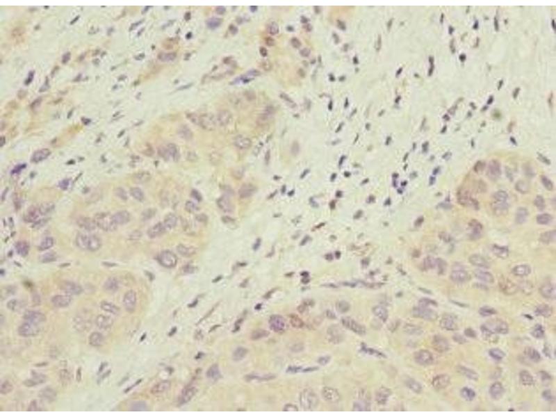
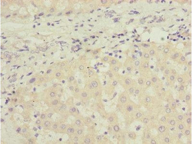
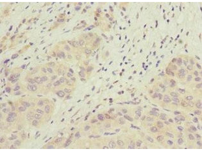
PHF17 anticorps (AA 543-842)

Cet anticorps anti-PHF17 Polyclonal Lapin (ABIN7165663) détecte spécifiquement PHF17 dans IHC et ELISA. L’anticorps est réactif avec des échantillons de Humain.
N° du produit ABIN7165663
328,90 €
Plus frais de livraison 40,00 € et TVA
Destination: France
Envoi sous 11 à 15 jours ouvrables

Aperçu rapide pour PHF17 anticorps (AA 543-842) (ABIN7165663)

Antigène

Voir toutes PHF17 Anticorps
PHF17 (PHD Finger Protein 17 (PHF17))

Reactivité

  • 19
  • 19
  • 10
  • 6
  • 6
  • 6
  • 6
  • 4
  • 4
  • 4
  • 4
  • 3
  • 2
  • 2
  • 1
Humain

Hôte

  • 23
  • 2
Lapin

Clonalité

  • 25
Polyclonal

Conjugué

  • 20
  • 1
  • 1
  • 1
  • 1
  • 1
Cet anticorp PHF17 est non-conjugé

Application

  • 23
  • 11
  • 10
  • 6
  • 2
  • 2
  • 1
  • 1
Immunohistochemistry (IHC), ELISA
  • Épitope

    • 8
    • 4
    • 3
    • 2
    • 1
    • 1
    • 1
    • 1
    • 1
    • 1
    AA 543-842

    Fonction

    JADE1 Antibody

    Purification

    Antigen Affinity Purified

    Immunogène

    Recombinant Human Protein Jade-1 protein (543-842AA)

    Isotype

    IgG
  • Indications d'application

    Optimal working dilution should be determined by the investigator.

    Restrictions

    For Research Use only
  • Format

    Liquid

    Buffer

    PBS with 0.02 % sodium azide, 50 % glycerol, pH 7.3.

    Agent conservateur

    Sodium azide

    Précaution d'utilisation

    This product contains Sodium azide: a POISONOUS AND HAZARDOUS SUBSTANCE which should be handled by trained staff only.

    Stock

    -20 °C,-80 °C

    Stockage commentaire

    Upon receipt, store at -20°C or -80°C. Avoid repeated freeze.
  • Antigène

    PHF17 (PHD Finger Protein 17 (PHF17))

    Autre désignation

    JADE1

    Sujet

    Background: Component of the HBO1 complex which has a histone H4-specific acetyltransferase activity, a reduced activity toward histone H3 and is responsible for the bulk of histone H4 acetylation in vivo. Transcriptional coactivator, it may also promote acetylation of nucleosomal histone H4 by KAT5. Promotes apoptosis. May act as a renal tumor suppressor.

    Aliases: FLJ22479 antibody, Gene for apoptosis and differentiation in epithelia antibody, Jade family PHD finger 1 antibody, JADE1 antibody, JADE1_HUMAN antibody, KIAA1807 antibody, OTTHUMP00000219842 antibody, OTTHUMP00000219934 antibody, OTTHUMP00000219935 antibody, OTTHUMP00000219936 antibody, PHD finger protein 17 antibody, PHD protein Jade 1 antibody, Phf17 antibody, Protein Jade 1 antibody, Protein Jade-1 antibody

    UniProt

    Q6IE81
Vous êtes ici:
Chat with us!