Tel:
+49 (0)241 95 163 153
Fax:
+49 (0)241 95 163 155
E-Mail:
orders@anticorps-enligne.fr

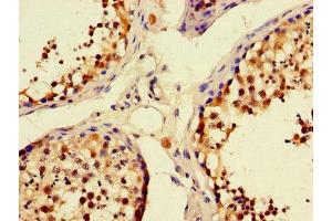
UNC13C anticorps (AA 414-645)

Cet anticorps anti-UNC13C Polyclonal Lapin (ABIN7166245) détecte spécifiquement UNC13C dans ELISA, IHC et IF. L’anticorps est réactif avec des échantillons de Humain.
N° du produit ABIN7166245
328,90 €
Plus frais de livraison 40,00 € et TVA
Destination: France
Envoi sous 11 à 15 jours ouvrables

Aperçu rapide pour UNC13C anticorps (AA 414-645) (ABIN7166245)

Antigène

UNC13C (Unc-13 Homolog C (UNC13C))

Reactivité

  • 5
  • 2
  • 2
Humain

Hôte

  • 6
Lapin

Clonalité

  • 6
Polyclonal

Conjugué

  • 2
  • 2
  • 1
  • 1
Cet anticorp UNC13C est non-conjugé

Application

ELISA, Immunohistochemistry (IHC), Immunofluorescence (IF)
  • Épitope

    • 4
    • 1
    • 1
    AA 414-645

    Fonction

    UNC13C Antibody

    Purification

    Protein G purified

    Pureté

    >95 %

    Immunogène

    Recombinant Human Protein unc-13 homolog C protein (414-645AA)

    Isotype

    IgG
  • Indications d'application

    Optimal working dilution should be determined by the investigator.

    Restrictions

    For Research Use only
  • Format

    Liquid

    Buffer

    Preservative: 0.03 % Proclin 300
    Constituents: 50 % Glycerol, 0.01M PBS, PH 7.4

    Agent conservateur

    ProClin

    Précaution d'utilisation

    This product contains ProClin: a POISONOUS AND HAZARDOUS SUBSTANCE which should be handled by trained staff only.

    Stock

    -20 °C,-80 °C

    Stockage commentaire

    Upon receipt, store at -20°C or -80°C. Avoid repeated freeze.
  • Antigène

    UNC13C (Unc-13 Homolog C (UNC13C))

    Autre désignation

    UNC13C

    Sujet

    Background: May play a role in vesicle maturation during exocytosis as a target of the diacylglycerol second messenger pathway. May be involved in the regulation of synaptic transmission at parallel fiber - Purkinje cell synapses (By similarity).

    Aliases: DKFZp547H074 antibody, Munc13 3 antibody, Munc13-3 antibody, Protein unc-13 homolog C antibody, UN13C_HUMAN antibody, Unc13c antibody

    UniProt

    Q8NB66
Vous êtes ici:
Chat with us!