Tel:
+49 (0)241 95 163 153
Fax:
+49 (0)241 95 163 155
E-Mail:
orders@anticorps-enligne.fr

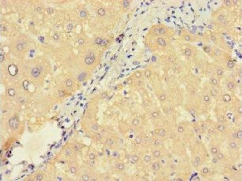
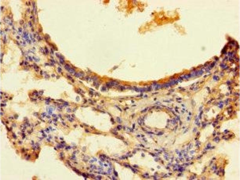
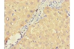
ZNF738 anticorps (AA 1-137)

L’anticorps anti-ZNF738 Polyclonal Lapin est utilisé pour la détection de ZNF738 dans des échantillons de Humain. Il a été validé pour ELISA et IHC.
N° du produit ABIN7166376
328,90 €
Plus frais de livraison 40,00 € et TVA
Destination: France
Envoi sous 11 à 15 jours ouvrables

Aperçu rapide pour ZNF738 anticorps (AA 1-137) (ABIN7166376)

Antigène

ZNF738 (Zinc Finger Protein 738 (ZNF738))

Reactivité

Humain

Hôte

  • 4
  • 2
Lapin

Clonalité

  • 6
Polyclonal

Conjugué

  • 2
  • 2
  • 1
  • 1
Cet anticorp ZNF738 est non-conjugé

Application

  • 3
  • 2
  • 2
ELISA, Immunohistochemistry (IHC)
  • Épitope

    AA 1-137

    Fonction

    ZNF738 Antibody

    Purification

    Protein G purified

    Pureté

    >95 %

    Immunogène

    Recombinant Human Protein ZNF738 protein (1-137AA)

    Isotype

    IgG
  • Indications d'application

    Optimal working dilution should be determined by the investigator.

    Restrictions

    For Research Use only
  • Format

    Liquid

    Buffer

    Preservative: 0.03 % Proclin 300
    Constituents: 50 % Glycerol, 0.01M PBS, PH 7.4

    Agent conservateur

    ProClin

    Précaution d'utilisation

    This product contains ProClin: a POISONOUS AND HAZARDOUS SUBSTANCE which should be handled by trained staff only.

    Stock

    -20 °C,-80 °C

    Stockage commentaire

    Upon receipt, store at -20°C or -80°C. Avoid repeated freeze.
  • Antigène

    ZNF738 (Zinc Finger Protein 738 (ZNF738))

    Autre désignation

    ZNF738

    Sujet

    Background: May be involved in transcriptional regulation.

    Aliases: ZNF738 antibody, Protein ZNF738 antibody

    UniProt

    Q8NE65
Vous êtes ici:
Chat with us!