Tel:
+49 (0)241 95 163 153
Fax:
+49 (0)241 95 163 155
E-Mail:
orders@anticorps-enligne.fr

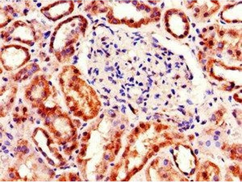
TDRD12 anticorps (AA 991-1164)

L’anticorps anti-TDRD12 Polyclonal Lapin est utilisé pour la détection de TDRD12 dans des échantillons de Humain. Il a été validé pour ELISA et IHC.
N° du produit ABIN7166667
328,90 €
Plus frais de livraison 40,00 € et TVA
Destination: France
Envoi sous 11 à 15 jours ouvrables

Aperçu rapide pour TDRD12 anticorps (AA 991-1164) (ABIN7166667)

Antigène

TDRD12 (Tudor Domain Containing 12 (TDRD12))

Reactivité

  • 6
  • 1
  • 1
  • 1
Humain

Hôte

  • 6
Lapin

Clonalité

  • 6
Polyclonal

Conjugué

  • 2
  • 2
  • 1
  • 1
Cet anticorp TDRD12 est non-conjugé

Application

ELISA, Immunohistochemistry (IHC)
  • Épitope

    • 4
    • 1
    • 1
    AA 991-1164

    Fonction

    TDRD12 Antibody

    Purification

    Protein G purified

    Pureté

    >95 %

    Immunogène

    Recombinant Human Putative ATP-dependent RNA helicase TDRD12 protein (991-1164AA)

    Isotype

    IgG
  • Indications d'application

    Optimal working dilution should be determined by the investigator.

    Restrictions

    For Research Use only
  • Format

    Liquid

    Buffer

    Preservative: 0.03 % Proclin 300
    Constituents: 50 % Glycerol, 0.01M PBS, PH 7.4

    Agent conservateur

    ProClin

    Précaution d'utilisation

    This product contains ProClin: a POISONOUS AND HAZARDOUS SUBSTANCE which should be handled by trained staff only.

    Stock

    -20 °C,-80 °C

    Stockage commentaire

    Upon receipt, store at -20°C or -80°C. Avoid repeated freeze.
  • Antigène

    TDRD12 (Tudor Domain Containing 12 (TDRD12))

    Autre désignation

    TDRD12

    Sujet

    Background: Probable ATP-binding RNA helicase required during spermatogenesis to repress transposable elements and preventing their mobilization, which is essential for the germline integrity. Acts via the piRNA metabolic process, which mediates the repression of transposable elements during meiosis by forming complexes composed of piRNAs and Piwi proteins and governs the methylation and subsequent repression of transposons. Involved in the secondary piRNAs metabolic process. Acts via the PET complex, a multiprotein complex required during the secondary piRNAs metabolic process for the PIWIL2 slicing-triggered loading of PIWIL4 piRNAs.

    Aliases: ECAT8 antibody, ES cell associated transcript 8 antibody, ES cell-associated transcript 8 protein antibody, TDR12_HUMAN antibody, Tdrd12 antibody, Tudor domain containing 12 antibody, Tudor domain-containing protein 12 antibody

    UniProt

    Q587J7
Vous êtes ici:
Chat with us!