×
Pour une meilleure utilisation, nous vous conseillons d’activer Javascript dans votre navigateur.
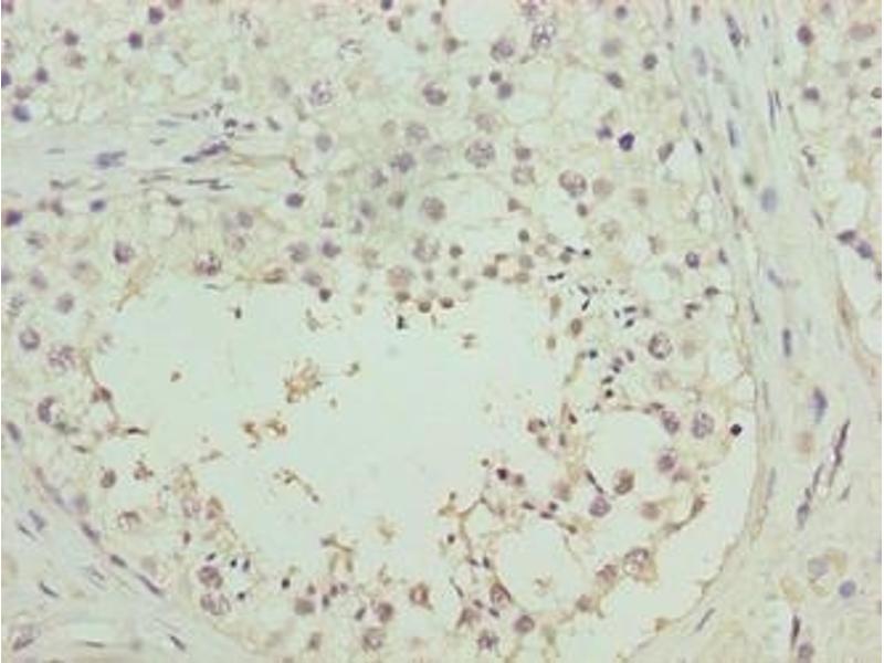
RHPN1-AS1 anticorps (AA 1-59)
Cet anticorps anti-RHPN1-AS1 Polyclonal Lapin (ABIN7166851) détecte spécifiquement RHPN1-AS1 dans ELISA et IHC.
L’anticorps est réactif avec des échantillons de Humain.
N° du produit ABIN7166851
328,90 €
Plus frais de livraison 40,00 € et TVA
50 μg ABIN7359658
100 μg ABIN7166851
50 μg ABIN7359658
100 μg ABIN7166851
Envoi sous 11 à 15 jours ouvrables
Aperçu rapide pour RHPN1-AS1 anticorps (AA 1-59) (ABIN7166851)
Antigène
RHPN1-AS1
(RHPN1 Antisense RNA 1 (Head To Head) (RHPN1-AS1))
Reactivité
Humain
Hôte
Toutes les hôtes sur RHPN1-AS1 Anticorps
Lapin
Clonalité
Toutes les clonalités sur RHPN1-AS1 Anticorps
Polyclonal
Conjugué
Tous les conjugués à travers RHPN1-AS1 Anticorps
Cet anticorp RHPN1-AS1 est non-conjugé
Application
ELISA, Immunohistochemistry (IHC)
Détail du produit anti-RHPN1-AS1 anticorps
(cache)
Épitope
AA 1-59
Fonction
RHPN1-AS1 Antibody
Purification
Protein G purified
Pureté
>95 %
Immunogène
Recombinant Human Putative uncharacterized protein encoded by RHPN1-AS1 protein (1-59AA)
Isotype
IgG
Alternatives
(show)
Information d'application
(cache)
Indications d'application
Optimal working dilution should be determined by the investigator.
Restrictions
For Research Use only
Stockage
(cache)
Format
Liquid
Buffer
Preservative: 0.03 % Proclin 300 Constituents: 50 % Glycerol, 0.01M PBS, PH 7.4
Agent conservateur
ProClin
Précaution d'utilisation
This product contains ProClin: a POISONOUS AND HAZARDOUS SUBSTANCE which should be handled by trained staff only.
Stock
-20 °C,-80 °C
Stockage commentaire
Upon receipt, store at -20°C or -80°C. Avoid repeated freeze.
Détails sur RHPN1-AS1
(cache)
Antigène
RHPN1-AS1
(RHPN1 Antisense RNA 1 (Head To Head) (RHPN1-AS1))
Autre désignation
RHPN1-AS1
Sujet
RHPN1-AS1 antibody, C8orf51 antibody, Putative uncharacterized protein encoded by RHPN1-AS1 antibody, RHPN1 antisense RNA 1 antibody, RHPN1 antisense gene protein 1 antibody
UniProt
Q9BWJ2
Vus récemment
(cache)
Chat with us , powered by LiveChat