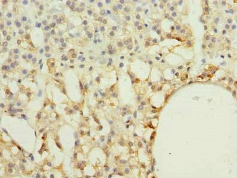
RAB33A anticorps (AA 1-237)
Aperçu rapide pour RAB33A anticorps (AA 1-237) (ABIN7167298)
Antigène
Voir toutes RAB33A AnticorpsReactivité
Hôte
Clonalité
Conjugué
Application
-
-
Épitope
- AA 1-237
-
Fonction
- RAB33A Antibody
-
Purification
- Protein G purified
-
Pureté
- >95 %
-
Immunogène
- Recombinant Human Ras-related protein Rab-33A protein (1-237AA)
-
Isotype
- IgG
-
-
-
-
Indications d'application
- Optimal working dilution should be determined by the investigator.
-
Restrictions
- For Research Use only
-
-
-
Format
- Liquid
-
Buffer
-
Preservative: 0.03 % Proclin 300
Constituents: 50 % Glycerol, 0.01M PBS, PH 7.4 -
Agent conservateur
- ProClin
-
Précaution d'utilisation
- This product contains ProClin: a POISONOUS AND HAZARDOUS SUBSTANCE which should be handled by trained staff only.
-
Stock
- -20 °C,-80 °C
-
Stockage commentaire
- Upon receipt, store at -20°C or -80°C. Avoid repeated freeze.
-
-
- RAB33A (RAB33A, Member RAS Oncogene Family (RAB33A))
-
Autre désignation
- RAB33A
-
Sujet
-
Background: Golgi apparatus, GTPase activity, antigen processing and presentation, intracellular protein transport, Rab protein signal transduction, regulation of autophagosome assembly
Aliases: RAB33A antibody, RABS10 antibody, Ras-related protein Rab-33A antibody, Small GTP-binding protein S10 antibody
-
UniProt
- Q14088
Antigène
-