Tel:
+49 (0)241 95 163 153
Fax:
+49 (0)241 95 163 155
E-Mail:
orders@anticorps-enligne.fr

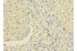
RAB8B anticorps (AA 15-204)

Cet anticorps anti-RAB8B Polyclonal Lapin (ABIN7167385) détecte spécifiquement RAB8B dans ELISA et IHC. L’anticorps est réactif avec des échantillons de Humain.
N° du produit ABIN7167385
328,90 €
Plus frais de livraison 40,00 € et TVA
Destination: France
Envoi sous 11 à 15 jours ouvrables

Aperçu rapide pour RAB8B anticorps (AA 15-204) (ABIN7167385)

Antigène

Voir toutes RAB8B Anticorps
RAB8B (RAB8B, Member RAS Oncogene Family (RAB8B))

Reactivité

  • 32
  • 9
  • 7
  • 4
  • 3
  • 3
  • 3
  • 3
  • 3
  • 2
  • 2
  • 2
  • 2
  • 2
  • 1
  • 1
  • 1
  • 1
  • 1
Humain

Hôte

  • 30
  • 2
  • 1
Lapin

Clonalité

  • 31
  • 2
Polyclonal

Conjugué

  • 18
  • 3
  • 2
  • 2
  • 1
  • 1
  • 1
  • 1
  • 1
  • 1
  • 1
  • 1
Cet anticorp RAB8B est non-conjugé

Application

  • 22
  • 19
  • 4
  • 1
  • 1
  • 1
  • 1
  • 1
ELISA, Immunohistochemistry (IHC)
  • Épitope

    • 8
    • 5
    • 4
    • 2
    • 1
    • 1
    • 1
    • 1
    • 1
    • 1
    AA 15-204

    Fonction

    RAB8B Antibody

    Purification

    Protein G purified

    Pureté

    >95 %

    Immunogène

    Recombinant Human Ras-related protein Rab-8B protein (15-204AA)

    Isotype

    IgG
  • Indications d'application

    Optimal working dilution should be determined by the investigator.

    Restrictions

    For Research Use only
  • Format

    Liquid

    Buffer

    Preservative: 0.03 % Proclin 300
    Constituents: 50 % Glycerol, 0.01M PBS, PH 7.4

    Agent conservateur

    ProClin

    Précaution d'utilisation

    This product contains ProClin: a POISONOUS AND HAZARDOUS SUBSTANCE which should be handled by trained staff only.

    Stock

    -20 °C,-80 °C

    Stockage commentaire

    Upon receipt, store at -20°C or -80°C. Avoid repeated freeze.
  • Antigène

    RAB8B (RAB8B, Member RAS Oncogene Family (RAB8B))

    Autre désignation

    RAB8B

    Sujet

    Background: The small GTPases Rab are key regulators of intracellular membrane trafficking, from the formation of transport vesicles to their fusion with membranes. Rabs cycle between an inactive GDP-bound form and an active GTP-bound form that is able to recruit to membranes different sets of downstream effectors directly responsible for vesicle formation, movement, tethering and fusion. That Rab may be involved in polarized vesicular trafficking and neurotransmitter release. May participate in cell junction dynamics in Sertoli cells.

    Aliases: 5930437D16 antibody, D330025I23Rik antibody, FLJ38125 antibody, GTPase Rab8b antibody, RAB 8b protein antibody, RAB44 antibody, Rab8b antibody, RAB8B, member RAS oncogene family antibody, RAB8B_HUMAN antibody, Ras-related protein Rab-8B antibody

    UniProt

    Q92930

    Pathways

    Positive Regulation of Peptide Hormone Secretion, Cell-Cell Junction Organization
Vous êtes ici:
Chat with us!