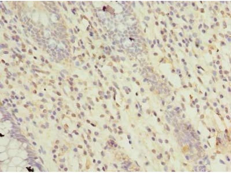
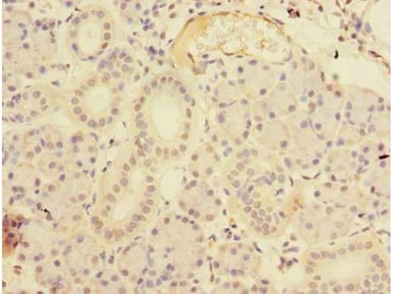
RTP4 anticorps (AA 1-224)
Aperçu rapide pour RTP4 anticorps (AA 1-224) (ABIN7167492)
Antigène
Voir toutes RTP4 AnticorpsReactivité
Hôte
Clonalité
Conjugué
Application
-
-
Épitope
- AA 1-224
-
Fonction
- RTP4 Antibody
-
Réactivité croisée
- Souris
-
Purification
- Protein G purified
-
Pureté
- >95 %
-
Immunogène
- Recombinant Human Receptor-transporting protein 4 protein (1-224AA)
-
Isotype
- IgG
-
-
-
-
Indications d'application
- Optimal working dilution should be determined by the investigator.
-
Restrictions
- For Research Use only
-
-
-
Format
- Liquid
-
Buffer
-
Preservative: 0.03 % Proclin 300
Constituents: 50 % Glycerol, 0.01M PBS, PH 7.4 -
Agent conservateur
- ProClin
-
Précaution d'utilisation
- This product contains ProClin: a POISONOUS AND HAZARDOUS SUBSTANCE which should be handled by trained staff only.
-
Stock
- -20 °C,-80 °C
-
Stockage commentaire
- Upon receipt, store at -20°C or -80°C. Avoid repeated freeze.
-
-
- RTP4 (Receptor (Chemosensory) Transporter Protein 4 (RTP4))
-
Autre désignation
- RTP4
-
Sujet
-
Background: Probable chaperone protein which facilitates trafficking and functional cell surface expression of some G-protein coupled receptors (GPCRs). Promotes functional expression of the bitter taste receptor TAS2R16 (PubMed:16720576). Also promotes functional expression of the opioid receptor heterodimer OPRD1-OPRM1 (By similarity).
Aliases: RTP4 antibody, IFRG28 antibody, Z3CXXC4 antibody, Receptor-transporting protein 4 antibody, 28 kDa interferon-responsive protein antibody, 3CxxC-type zinc finger protein 4 antibody
-
UniProt
- Q96DX8
Antigène
-