×
Pour une meilleure utilisation, nous vous conseillons d’activer Javascript dans votre navigateur.
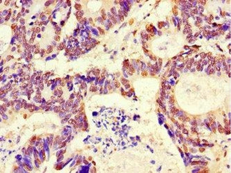
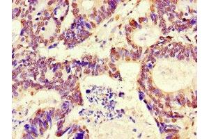
RFPL4B anticorps (AA 1-263)
L’anticorps anti-RFPL4B Polyclonal Lapin est utilisé pour la détection de RFPL4B dans des échantillons de Humain. Il a été validé pour ELISA, IHC et IF.
N° du produit ABIN7167735
328,90 €
Plus frais de livraison 40,00 € et TVA
50 μg ABIN7348205
100 μg ABIN7167735
50 μg ABIN7348205
100 μg ABIN7167735
Envoi sous 11 à 15 jours ouvrables
Aperçu rapide pour RFPL4B anticorps (AA 1-263) (ABIN7167735)
Antigène
RFPL4B
(Ret Finger Protein-Like 4B (RFPL4B))
Reactivité
Humain
Hôte
Toutes les hôtes sur RFPL4B Anticorps
Lapin
Clonalité
Toutes les clonalités sur RFPL4B Anticorps
Polyclonal
Conjugué
Tous les conjugués à travers RFPL4B Anticorps
Cet anticorp RFPL4B est non-conjugé
Application
Tous les applications à travers RFPL4B Anticorps.
ELISA, Immunohistochemistry (IHC), Immunofluorescence (IF)
Détail du produit anti-RFPL4B anticorps
(cache)
Épitope
Tous les épitopes à travers RFPL4B Anticorps.
AA 1-263
Fonction
RFPL4B Antibody
Purification
Protein G purified
Pureté
>95 %
Immunogène
Recombinant Human Ret finger protein-like 4B protein (1-263AA)
Isotype
IgG
Alternatives
(show)
Information d'application
(cache)
Indications d'application
Optimal working dilution should be determined by the investigator.
Restrictions
For Research Use only
Stockage
(cache)
Format
Liquid
Buffer
Preservative: 0.03 % Proclin 300 Constituents: 50 % Glycerol, 0.01M PBS, PH 7.4
Agent conservateur
ProClin
Précaution d'utilisation
This product contains ProClin: a POISONOUS AND HAZARDOUS SUBSTANCE which should be handled by trained staff only.
Stock
-20 °C,-80 °C
Stockage commentaire
Upon receipt, store at -20°C or -80°C. Avoid repeated freeze.
Détails sur RFPL4B
(cache)
Antigène
RFPL4B
(Ret Finger Protein-Like 4B (RFPL4B))
Autre désignation
RFPL4B
Sujet
RFPL4B antibody, RNF211 antibody, Ret finger protein-like 4B antibody, RING finger protein 211 antibody
UniProt
Q6ZWI9
Vus récemment
(cache)
Chat with us , powered by LiveChat