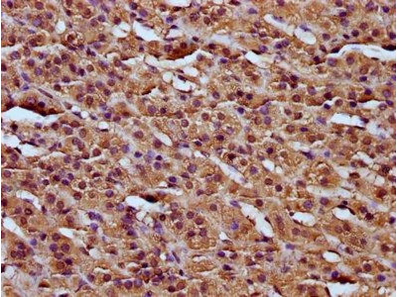
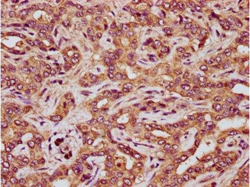
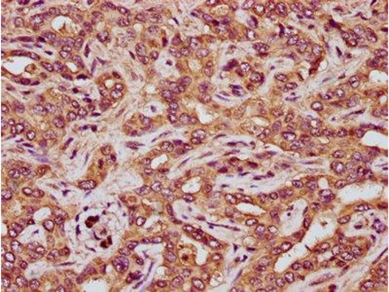
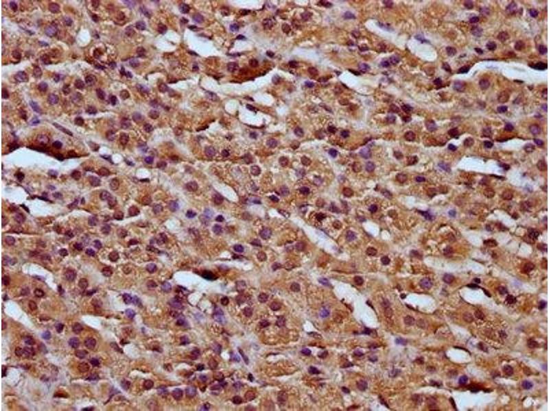
RCN3 anticorps (AA 71-161)
Aperçu rapide pour RCN3 anticorps (AA 71-161) (ABIN7167744)
Antigène
Voir toutes RCN3 AnticorpsReactivité
Hôte
Clonalité
Conjugué
Application
-
-
Épitope
- AA 71-161
-
Fonction
- RCN3 Antibody
-
Réactivité croisée
- Souris
-
Purification
- Protein G purified
-
Pureté
- >95 %
-
Immunogène
- Recombinant Human Reticulocalbin-3 protein (71-161AA)
-
Isotype
- IgG
-
-
-
-
Indications d'application
- Optimal working dilution should be determined by the investigator.
-
Restrictions
- For Research Use only
-
-
-
Format
- Liquid
-
Buffer
-
Preservative: 0.03 % Proclin 300
Constituents: 50 % Glycerol, 0.01M PBS, pH 7.4 -
Agent conservateur
- ProClin
-
Précaution d'utilisation
- This product contains ProClin: a POISONOUS AND HAZARDOUS SUBSTANCE which should be handled by trained staff only.
-
Stock
- -20 °C,-80 °C
-
Stockage commentaire
- Upon receipt, store at -20°C or -80°C. Avoid repeated freeze.
-
-
- RCN3 (Reticulocalbin 3, EF-Hand Calcium Binding Domain (RCN3))
-
Autre désignation
- RCN3
-
Sujet
- EF-hand calcium-binding protein RLP49 antibody, RCN3 antibody, RCN3_HUMAN antibody, reticulocalbin 3, EF-hand calcium binding domain antibody, Reticulocalbin-3 antibody, RLP49 antibody, UNQ239/PRO272 antibody
-
UniProt
- Q96D15
Antigène
-