Tel:
+49 (0)241 95 163 153
Fax:
+49 (0)241 95 163 155
E-Mail:
orders@anticorps-enligne.fr

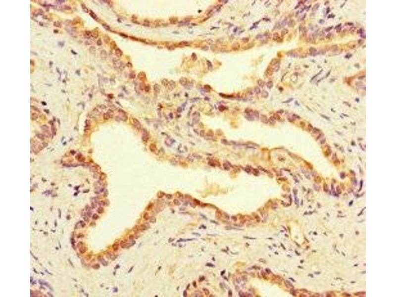
RIOX2 anticorps (AA 1-300)

Cet anticorps anti-RIOX2 Polyclonal Lapin (ABIN7168168) détecte spécifiquement RIOX2 dans ELISA, IHC et IF. L’anticorps est réactif avec des échantillons de Humain.
N° du produit ABIN7168168
328,90 €
Plus frais de livraison 40,00 € et TVA
Destination: France
Envoi sous 11 à 15 jours ouvrables

Aperçu rapide pour RIOX2 anticorps (AA 1-300) (ABIN7168168)

Antigène

RIOX2 (Ribosomal Oxygenase 2 (RIOX2))

Reactivité

  • 16
  • 1
  • 1
Humain

Hôte

  • 16
Lapin

Clonalité

  • 14
  • 2
Polyclonal

Conjugué

  • 7
  • 1
  • 1
  • 1
  • 1
  • 1
  • 1
  • 1
  • 1
  • 1
Cet anticorp RIOX2 est non-conjugé

Application

  • 5
  • 5
  • 2
  • 2
  • 1
  • 1
  • 1
ELISA, Immunohistochemistry (IHC), Immunofluorescence (IF)
  • Épitope

    • 3
    • 1
    AA 1-300

    Fonction

    RIOX2 Antibody

    Purification

    Protein G purified

    Pureté

    >95 %

    Immunogène

    Recombinant Human Ribosomal oxygenase 2 protein (1-300AA)

    Isotype

    IgG
  • Indications d'application

    Optimal working dilution should be determined by the investigator.

    Restrictions

    For Research Use only
  • Format

    Liquid

    Buffer

    Preservative: 0.03 % Proclin 300
    Constituents: 50 % Glycerol, 0.01M PBS, PH 7.4

    Agent conservateur

    ProClin

    Précaution d'utilisation

    This product contains ProClin: a POISONOUS AND HAZARDOUS SUBSTANCE which should be handled by trained staff only.

    Stock

    -20 °C,-80 °C

    Stockage commentaire

    Upon receipt, store at -20°C or -80°C. Avoid repeated freeze.
  • Antigène

    RIOX2 (Ribosomal Oxygenase 2 (RIOX2))

    Autre désignation

    RIOX2

    Sujet

    Background: Oxygenase that can act as both a histone lysine demethylase and a ribosomal histidine hydroxylase. Is involved in the demethylation of trimethylated \\\'Lys-9\\\' on histone H3 (H3K9me3), leading to an increase in ribosomal RNA expression. Also catalyzes the hydroxylation of 60S ribosomal protein L27a on \\\'His-39\\\'. May play an important role in cell growth and survival. May be involved in ribosome biogenesis, most likely during the assembly process of pre-ribosomal particles.

    Aliases: 60S ribosomal protein L27a histidine hydroxylase antibody, Bifunctional lysine specific demethylase and histidyl hydroxylase MINA antibody, FLJ14393 antibody, Histone lysine demethylase MINA antibody, MDIG antibody, MINA antibody, MINA_HUMAN antibody, Mineral dust-induced gene protein antibody, Myc induced nuclear antigen 53 kDa antibody, MYC induced nuclear antigen antibody, MYC-induced nuclear antigen antibody, NO52 antibody, Nucleolar protein 52 antibody, Ribosomal oxygenase MINA antibody, ROX antibody

    UniProt

    Q8IUF8
Vous êtes ici:
Chat with us!