×
Pour une meilleure utilisation, nous vous conseillons d’activer Javascript dans votre navigateur.
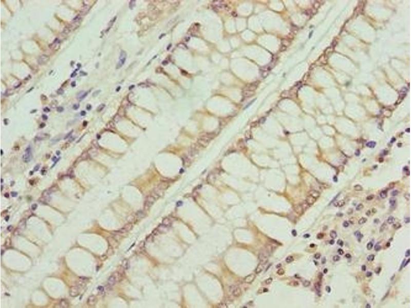
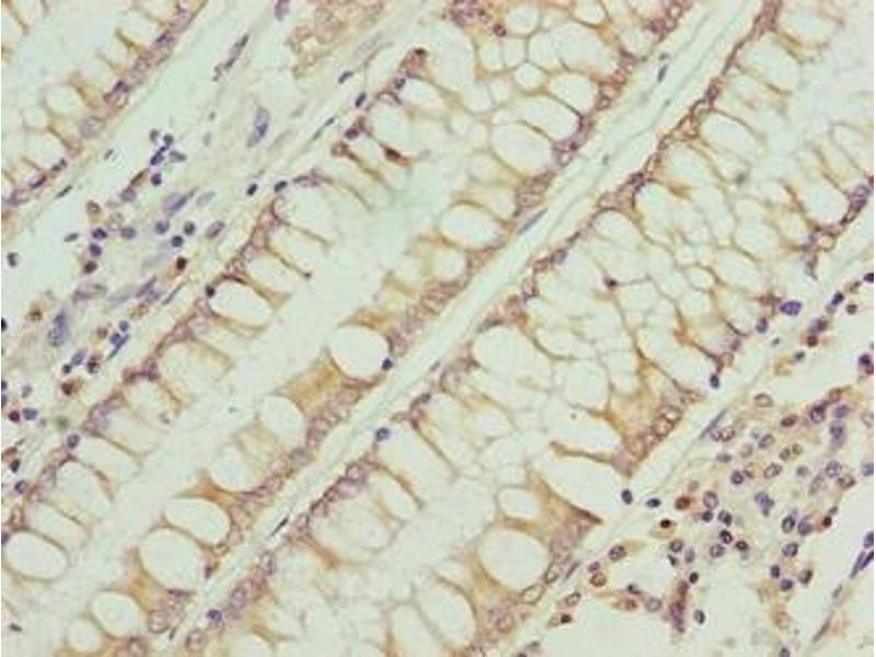
RFESD anticorps (AA 1-157)
Cet anticorps anti-RFESD Polyclonal Lapin (ABIN7168228) détecte spécifiquement RFESD dans ELISA et IHC.
L’anticorps est réactif avec des échantillons de Humain.
N° du produit ABIN7168228
328,90 €
Plus frais de livraison 40,00 € et TVA
50 μg ABIN7357498
100 μg ABIN7168228
50 μg ABIN7357498
100 μg ABIN7168228
Envoi sous 11 à 15 jours ouvrables
Aperçu rapide pour RFESD anticorps (AA 1-157) (ABIN7168228)
Antigène
RFESD
(Rieske (Fe-S) Domain Containing (RFESD))
Reactivité
Toutes les réactivités sur RFESD Anticorps
Humain
Hôte
Toutes les hôtes sur RFESD Anticorps
Lapin
Clonalité
Toutes les clonalités sur RFESD Anticorps
Polyclonal
Conjugué
Tous les conjugués à travers RFESD Anticorps
Cet anticorp RFESD est non-conjugé
Application
Tous les applications à travers RFESD Anticorps.
ELISA, Immunohistochemistry (IHC)
Détail du produit anti-RFESD anticorps
(cache)
Épitope
Tous les épitopes à travers RFESD Anticorps.
AA 1-157
Fonction
RFESD Antibody
Purification
Protein G purified
Pureté
>95 %
Immunogène
Recombinant Human Rieske domain-containing protein (1-157AA)
Isotype
IgG
Alternatives
(show)
Information d'application
(cache)
Indications d'application
Optimal working dilution should be determined by the investigator.
Restrictions
For Research Use only
Stockage
(cache)
Format
Liquid
Buffer
Preservative: 0.03 % Proclin 300 Constituents: 50 % Glycerol, 0.01M PBS, PH 7.4
Agent conservateur
ProClin
Précaution d'utilisation
This product contains ProClin: a POISONOUS AND HAZARDOUS SUBSTANCE which should be handled by trained staff only.
Stock
-20 °C,-80 °C
Stockage commentaire
Upon receipt, store at -20°C or -80°C. Avoid repeated freeze.
Détails sur RFESD
(cache)
Antigène
RFESD
(Rieske (Fe-S) Domain Containing (RFESD))
Autre désignation
RFESD
Sujet
RFESD antibody, RFESD_HUMAN antibody, Rieske (Fe S) domain containing antibody, Rieske domain containing protein antibody, Rieske domain-containing protein antibody
UniProt
Q8TAC1
Vus récemment
(cache)
Chat with us , powered by LiveChat