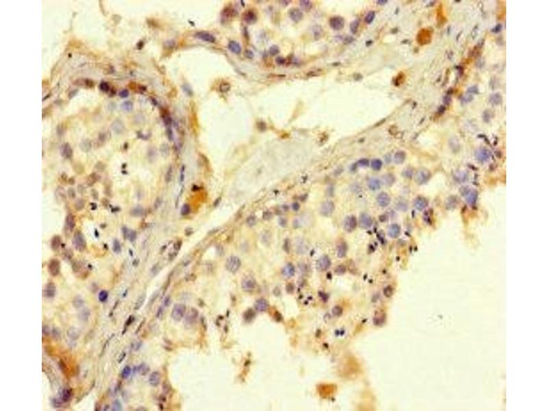
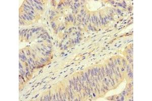
ROPN1 anticorps (AA 1-212)
Aperçu rapide pour ROPN1 anticorps (AA 1-212) (ABIN7168424)
Antigène
Voir toutes ROPN1 AnticorpsReactivité
Hôte
Clonalité
Conjugué
Application
-
-
Épitope
- AA 1-212
-
Fonction
- ROPN1 Antibody
-
Purification
- Protein G purified
-
Pureté
- >95 %
-
Immunogène
- Recombinant Human Ropporin-1A protein (1-212AA)
-
Isotype
- IgG
-
-
-
-
Indications d'application
- Optimal working dilution should be determined by the investigator.
-
Restrictions
- For Research Use only
-
-
-
Format
- Liquid
-
Buffer
-
Preservative: 0.03 % Proclin 300
Constituents: 50 % Glycerol, 0.01M PBS, PH 7.4 -
Agent conservateur
- ProClin
-
Précaution d'utilisation
- This product contains ProClin: a POISONOUS AND HAZARDOUS SUBSTANCE which should be handled by trained staff only.
-
Stock
- -20 °C,-80 °C
-
Stockage commentaire
- Upon receipt, store at -20°C or -80°C. Avoid repeated freeze.
-
-
- ROPN1 (Rhophilin Associated Tail Protein 1 (ROPN1))
-
Autre désignation
- ROPN1
-
Sujet
-
Background: cytoplasm, nucleus, small GTPase mediated signal transduction
Aliases: ROPN1 antibody, ROPN1A antibody, Ropporin-1A antibody, Cancer/testis antigen 91 antibody, CT91 antibody, Rhophilin-associated protein 1A antibody
-
UniProt
- Q9HAT0
Antigène
-