Tel:
+49 (0)241 95 163 153
Fax:
+49 (0)241 95 163 155
E-Mail:
orders@anticorps-enligne.fr

RRM1 anticorps

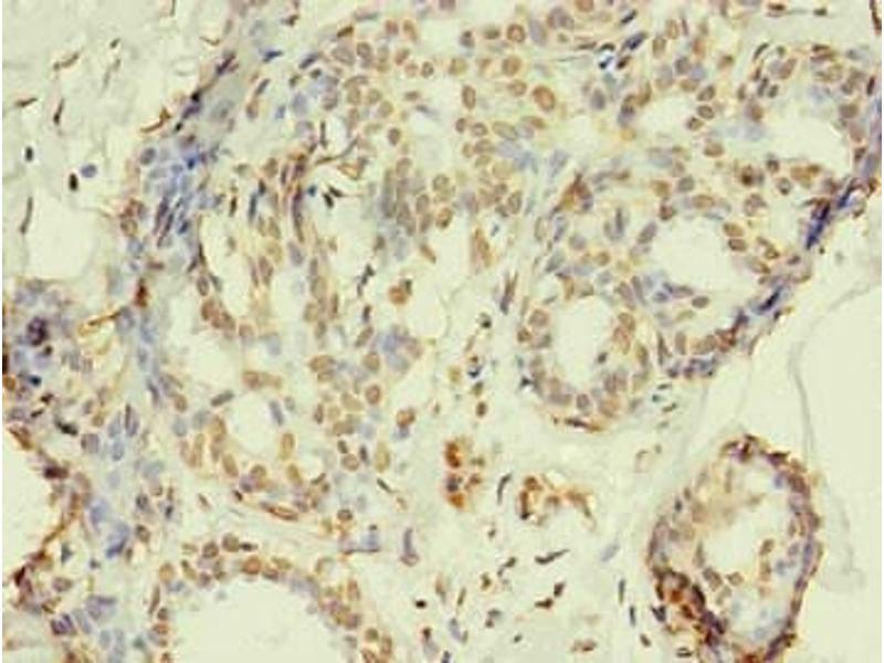
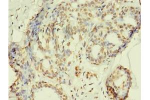
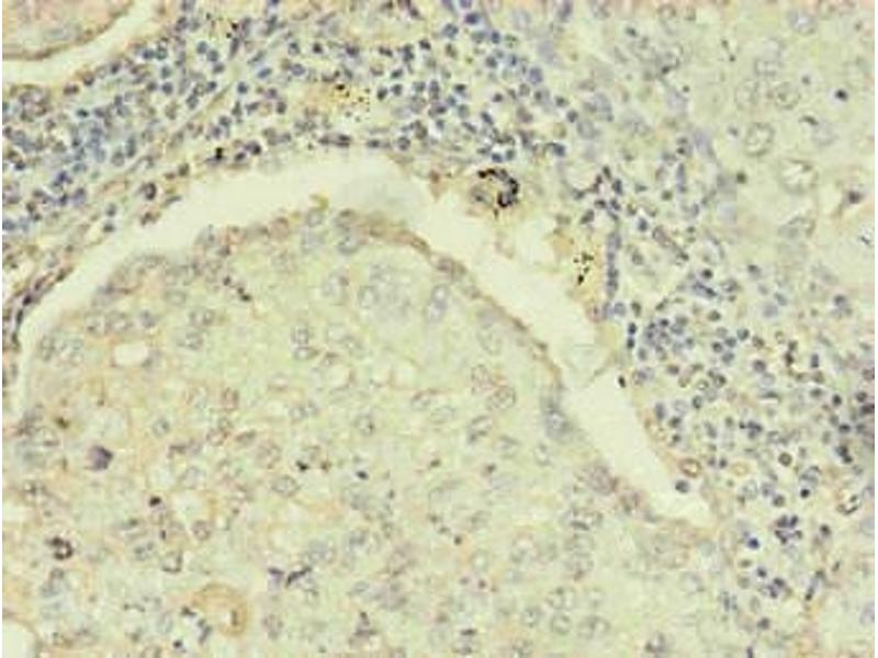
L’anticorps anti-RRM1 Monoclonal Souris est utilisé pour la détection de RRM1 dans des échantillons de Humain. Il a été validé pour ELISA et IHC.
N° du produit ABIN7168449
385,00 €
Plus frais de livraison 40,00 € et TVA
Destination: France
Envoi sous 11 à 15 jours ouvrables

Aperçu rapide pour RRM1 anticorps (ABIN7168449)

Antigène

Voir toutes RRM1 Anticorps
RRM1 (Ribonucleotide Reductase M1 (RRM1))

Reactivité

  • 97
  • 43
  • 31
  • 9
  • 8
  • 5
  • 4
  • 4
  • 4
  • 3
  • 2
  • 2
  • 2
  • 1
  • 1
  • 1
  • 1
Humain

Hôte

  • 94
  • 7
Souris

Clonalité

  • 71
  • 30
Monoclonal

Conjugué

  • 47
  • 7
  • 4
  • 4
  • 4
  • 4
  • 4
  • 4
  • 4
  • 4
  • 1
  • 1
  • 1
  • 1
  • 1
  • 1
  • 1
  • 1
  • 1
  • 1
  • 1
  • 1
  • 1
  • 1
  • 1
Cet anticorp RRM1 est non-conjugé

Application

  • 60
  • 27
  • 23
  • 22
  • 15
  • 13
  • 13
  • 8
  • 7
  • 7
  • 4
  • 1
ELISA, Immunohistochemistry (IHC)

Clone

3D6H5
  • Fonction

    RRM1 Monoclonal Antibody

    Purification

    Protein G purified

    Pureté

    >95 %

    Immunogène

    Recombinant Human RRM1 Protein

    Isotype

    IgG
  • Indications d'application

    Optimal working dilution should be determined by the investigator.

    Restrictions

    For Research Use only
  • Format

    Liquid

    Buffer

    Preservative: 0.03 % Proclin 300
    Constituents: 50 % Glycerol, 0.01M PBS, PH 7.4

    Agent conservateur

    ProClin

    Précaution d'utilisation

    This product contains ProClin: a POISONOUS AND HAZARDOUS SUBSTANCE which should be handled by trained staff only.

    Stock

    -20 °C,-80 °C

    Stockage commentaire

    Upon receipt, store at -20°C or -80°C. Avoid repeated freeze.
  • Antigène

    RRM1 (Ribonucleotide Reductase M1 (RRM1))

    Autre désignation

    RRM1

    Sujet

    Background: This gene encodes one of two non-identical subunits that constitute ribonucleoside-diphosphate reductase, an enzyme essential for the production of deoxyribonucleotides prior to DNA synthesis in S phase of dividing cells.It is one of several genes located in the imprinted gene domain of 11p15.5, an important tumor-suppressor gene region. Alterations in this region have been associated with the Beckwith-Wiedemann syndrome, Wilms tumor,rhabdomyosarcoma, adrenocrotical carcinoma, and lung, ovarian, and breast cancer. This gene may play a role in malignancies and disease that involve this region.

    Aliases: Ribonucleotide Reductase M1,RRM1,RR1

    UniProt

    P23921

    Pathways

    Positive Regulation of Endopeptidase Activity
Vous êtes ici:
Chat with us!