Tel:
+49 (0)241 95 163 153
Fax:
+49 (0)241 95 163 155
E-Mail:
orders@anticorps-enligne.fr

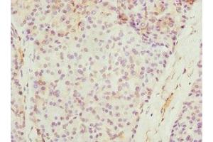
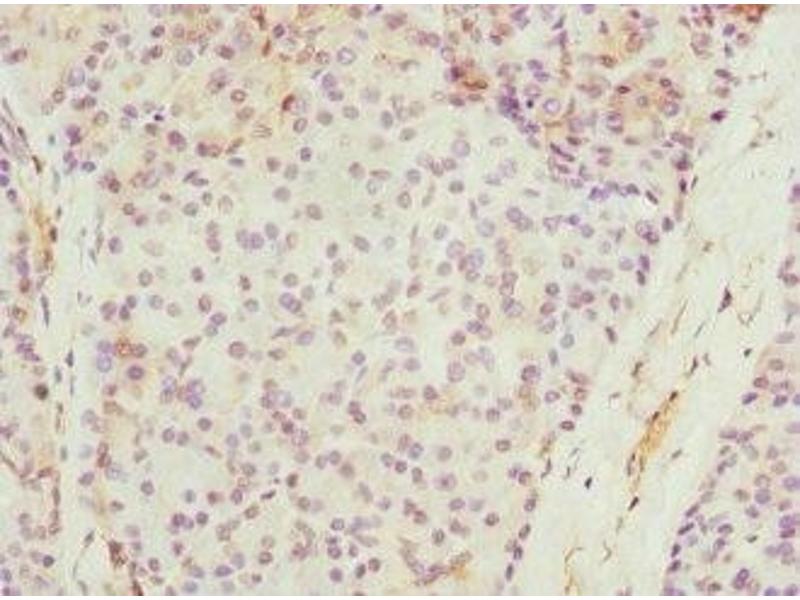
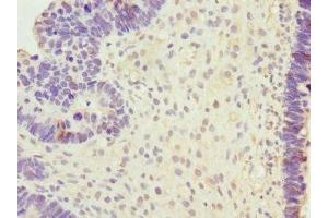
SAP30BP anticorps (AA 1-308)

Cet anticorps anti-SAP30BP Polyclonal Lapin (ABIN7168591) détecte spécifiquement SAP30BP dans IHC et ELISA. L’anticorps est réactif avec des échantillons de Humain.
N° du produit ABIN7168591
328,90 €
Plus frais de livraison 40,00 € et TVA
Destination: France
Envoi sous 11 à 15 jours ouvrables

Aperçu rapide pour SAP30BP anticorps (AA 1-308) (ABIN7168591)

Antigène

Voir toutes SAP30BP Anticorps
SAP30BP (SAP30 Binding Protein (SAP30BP))

Reactivité

  • 31
  • 24
  • 21
  • 9
  • 7
  • 5
  • 5
  • 5
  • 4
  • 3
  • 3
  • 3
  • 3
  • 3
  • 2
Humain

Hôte

  • 28
  • 3
Lapin

Clonalité

  • 28
  • 3
Polyclonal

Conjugué

  • 24
  • 1
  • 1
  • 1
  • 1
  • 1
  • 1
  • 1
Cet anticorp SAP30BP est non-conjugé

Application

  • 22
  • 6
  • 4
  • 4
  • 3
  • 1
  • 1
Immunohistochemistry (IHC), ELISA
  • Épitope

    • 3
    • 3
    • 3
    • 2
    • 2
    • 1
    • 1
    • 1
    • 1
    • 1
    AA 1-308

    Fonction

    SAP30BP Antibody

    Purification

    Antigen Affinity Purified

    Immunogène

    Recombinant Human SAP30-binding protein (1-308AA)

    Isotype

    IgG
  • Indications d'application

    Optimal working dilution should be determined by the investigator.

    Restrictions

    For Research Use only
  • Format

    Liquid

    Buffer

    PBS with 0.02 % sodium azide, 50 % glycerol, pH 7.3.

    Agent conservateur

    Sodium azide

    Précaution d'utilisation

    This product contains Sodium azide: a POISONOUS AND HAZARDOUS SUBSTANCE which should be handled by trained staff only.

    Stock

    -20 °C,-80 °C

    Stockage commentaire

    Upon receipt, store at -20°C or -80°C. Avoid repeated freeze.
  • Antigène

    SAP30BP (SAP30 Binding Protein (SAP30BP))

    Autre désignation

    SAP30BP

    Sujet

    Background: Induces cell death. May act as a transcriptional corepressor of a gene related to cell survival. May be involved in the regulation of beta-2-microglobulin genes.

    Aliases: HCNGP antibody, HSV 1 binding antibody, HSV-1 binding transcriptional regulator protein antibody, HSV1 binding antibody, HTRG antibody, HTRP antibody, Human transcriptional regulator protein antibody, S30BP_HUMAN antibody, SAP 30 binding protein antibody, SAP30 binding protein antibody, SAP30-binding protein antibody, SAP30BP antibody, Transcriptional regulator protein HCNGP antibody

    UniProt

    Q9UHR5
Vous êtes ici:
Chat with us!