Tel:
+49 (0)241 95 163 153
Fax:
+49 (0)241 95 163 155
E-Mail:
orders@anticorps-enligne.fr

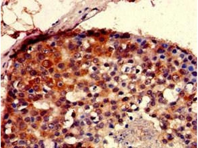
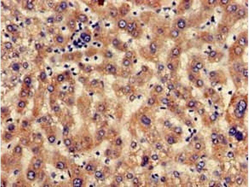
SEC23IP anticorps (AA 779-989)

L’anticorps anti-SEC23IP Polyclonal Lapin est utilisé pour la détection de SEC23IP dans des échantillons de Humain. Il a été validé pour WB, ELISA, IF et IHC.
N° du produit ABIN7168659
328,90 €
Plus frais de livraison 40,00 € et TVA
Destination: France
Envoi sous 11 à 15 jours ouvrables

Aperçu rapide pour SEC23IP anticorps (AA 779-989) (ABIN7168659)

Antigène

Voir toutes SEC23IP Anticorps
SEC23IP (SEC23 Interacting Protein (SEC23IP))

Reactivité

  • 33
  • 9
  • 9
  • 6
  • 6
  • 5
  • 5
  • 5
  • 2
  • 2
  • 2
Humain

Hôte

  • 29
  • 4
Lapin

Clonalité

  • 32
  • 1
Polyclonal

Conjugué

  • 24
  • 3
  • 2
  • 2
  • 1
  • 1
Cet anticorp SEC23IP est non-conjugé

Application

  • 28
  • 12
  • 9
  • 5
  • 3
  • 3
  • 2
  • 2
  • 1
Western Blotting (WB), ELISA, Immunofluorescence (IF), Immunohistochemistry (IHC)
  • Épitope

    • 9
    • 5
    • 4
    • 3
    • 2
    • 2
    • 1
    • 1
    • 1
    • 1
    • 1
    • 1
    • 1
    • 1
    AA 779-989

    Fonction

    SEC23IP Antibody

    Purification

    Protein G purified

    Pureté

    >95 %

    Immunogène

    Recombinant Human SEC23-interacting protein (779-989AA)

    Isotype

    IgG
  • Indications d'application

    Optimal working dilution should be determined by the investigator.

    Restrictions

    For Research Use only
  • Format

    Liquid

    Buffer

    Preservative: 0.03 % Proclin 300
    Constituents: 50 % Glycerol, 0.01M PBS, pH 7.4

    Agent conservateur

    ProClin

    Précaution d'utilisation

    This product contains ProClin: a POISONOUS AND HAZARDOUS SUBSTANCE which should be handled by trained staff only.

    Stock

    -20 °C,-80 °C

    Stockage commentaire

    Upon receipt, store at -20°C or -80°C. Avoid repeated freeze.
  • Antigène

    SEC23IP (SEC23 Interacting Protein (SEC23IP))

    Autre désignation

    SEC23IP

    Sujet

    Background: Plays a role in the organization of endoplasmic reticulum exit sites. Specifically binds to phosphatidylinositol 3-phosphate (PI(3)P), phosphatidylinositol 4-phosphate (PI(4)P) and phosphatidylinositol 5-phosphate (PI(5)P).

    Aliases: MSTP053 antibody, p125 antibody, P125A antibody, Phospholipase antibody, S23IP_HUMAN antibody, Sec23 interacting protein p125 antibody, SEC23-interacting protein antibody, SEC23IP antibody

    UniProt

    Q9Y6Y8
Vous êtes ici:
Chat with us!