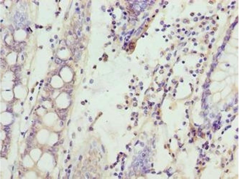
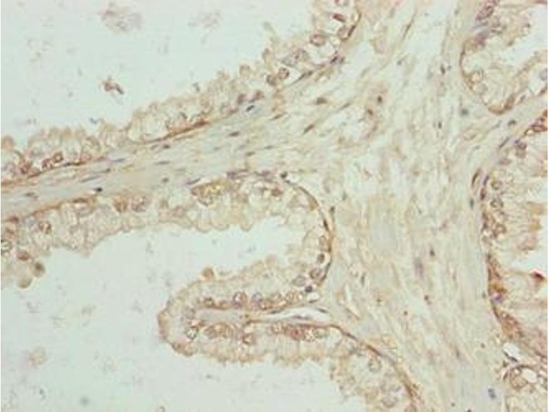
SPTLC3 anticorps (AA 1-58)
Aperçu rapide pour SPTLC3 anticorps (AA 1-58) (ABIN7168900)
Antigène
Voir toutes SPTLC3 AnticorpsReactivité
Hôte
Clonalité
Conjugué
Application
-
-
Épitope
- AA 1-58
-
Fonction
- SPTLC3 Antibody
-
Réactivité croisée
- Souris
-
Purification
- Antigen Affinity Purified
-
Immunogène
- Recombinant Human Serine palmitoyltransferase 3 protein (1-58AA)
-
Isotype
- IgG
-
-
-
-
Indications d'application
- Optimal working dilution should be determined by the investigator.
-
Restrictions
- For Research Use only
-
-
-
Format
- Liquid
-
Buffer
-
Preservative: 0.03 % Proclin 300
Constituents: 50 % Glycerol, 0.01M PBS, PH 7.4 -
Agent conservateur
- ProClin
-
Précaution d'utilisation
- This product contains ProClin: a POISONOUS AND HAZARDOUS SUBSTANCE which should be handled by trained staff only.
-
Stock
- -20 °C,-80 °C
-
Stockage commentaire
- Upon receipt, store at -20°C or -80°C. Avoid repeated freeze.
-
-
- SPTLC3 (Serine Palmitoyltransferase, Long Chain Base Subunit 3 (SPTLC3))
-
Autre désignation
- SPTLC3
-
Sujet
-
Background: Serine palmitoyltransferase (SPT). The heterodimer formed with LCB1/SPTLC1 constitutes the catalytic core. The composition of the serine palmitoyltransferase (SPT) complex determines the substrate preference. The SPTLC1-SPTLC3-SPTSSA isozyme uses both C14-CoA and C16-CoA as substrates, while the SPTLC1-SPTLC3-SPTSSB has the ability to use a broader range of acyl-CoAs without apparent preference.
Aliases: LCB 3 antibody, LCB2b antibody, Long chain base biosynthesis protein 2b antibody, Long chain base biosynthesis protein 3 antibody, Serine palmitoyltransferase 3 antibody, Serine-palmitoyl-CoA transferase 3 antibody, SPT 3 antibody, SPTC3_HUMAN antibody, SPTLC3 antibody
-
UniProt
- Q9NUV7
Antigène
-