×
Pour une meilleure utilisation, nous vous conseillons d’activer Javascript dans votre navigateur.
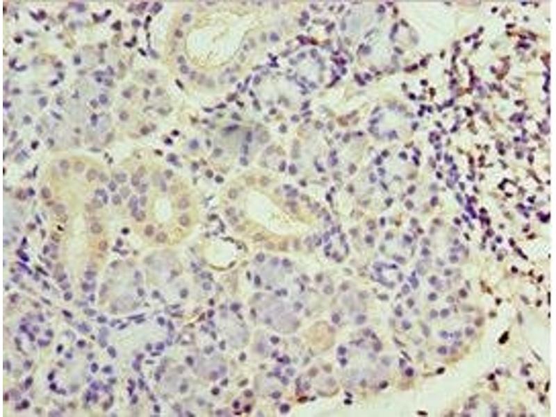
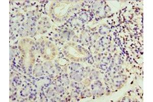
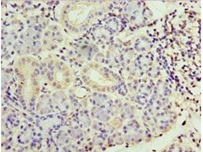
SMYD4 anticorps (AA 1-260)
Cet anticorps anti-SMYD4 Polyclonal Lapin (ABIN7169410) détecte spécifiquement SMYD4 dans WB, IHC et ELISA.
L’anticorps est réactif avec des échantillons de Humain.
N° du produit ABIN7169410
328,90 €
Plus frais de livraison 40,00 € et TVA
50 μL ABIN7362312
100 μL ABIN7169410
50 μL ABIN7362312
100 μL ABIN7169410
Envoi sous 11 à 15 jours ouvrables
Aperçu rapide pour SMYD4 anticorps (AA 1-260) (ABIN7169410)
Antigène
SMYD4
(SET and MYND Domain Containing 4 (SMYD4))
Reactivité
Toutes les réactivités sur SMYD4 Anticorps
Humain
Hôte
Toutes les hôtes sur SMYD4 Anticorps
Lapin
Clonalité
Toutes les clonalités sur SMYD4 Anticorps
Polyclonal
Conjugué
Tous les conjugués à travers SMYD4 Anticorps
Cet anticorp SMYD4 est non-conjugé
Application
Tous les applications à travers SMYD4 Anticorps.
Western Blotting (WB), Immunohistochemistry (IHC), ELISA
Détail du produit anti-SMYD4 anticorps
(cache)
Épitope
Tous les épitopes à travers SMYD4 Anticorps.
AA 1-260
Fonction
SMYD4 Antibody
Purification
Antigen Affinity Purified
Immunogène
Recombinant Human SET and MYND domain-containing protein 4 protein (1-260AA)
Isotype
IgG
Alternatives
(show)
Information d'application
(cache)
Indications d'application
Optimal working dilution should be determined by the investigator.
Restrictions
For Research Use only
Stockage
(cache)
Format
Liquid
Buffer
PBS with 0.02 % sodium azide, 50 % glycerol, pH 7.3.
Agent conservateur
Sodium azide
Précaution d'utilisation
This product contains Sodium azide: a POISONOUS AND HAZARDOUS SUBSTANCE which should be handled by trained staff only.
Stock
-20 °C,-80 °C
Stockage commentaire
Upon receipt, store at -20°C or -80°C. Avoid repeated freeze.
Détails sur SMYD4
(cache)
Antigène
SMYD4
(SET and MYND Domain Containing 4 (SMYD4))
Autre désignation
SMYD4
Sujet
SMYD4 antibody, KIAA1936 antibody, SET and MYND domain-containing protein 4 antibody, EC 2.1.1.- antibody
UniProt
Q8IYR2
Vus récemment
(cache)
Chat with us , powered by LiveChat