Tel:
+49 (0)241 95 163 153
Fax:
+49 (0)241 95 163 155
E-Mail:
orders@anticorps-enligne.fr

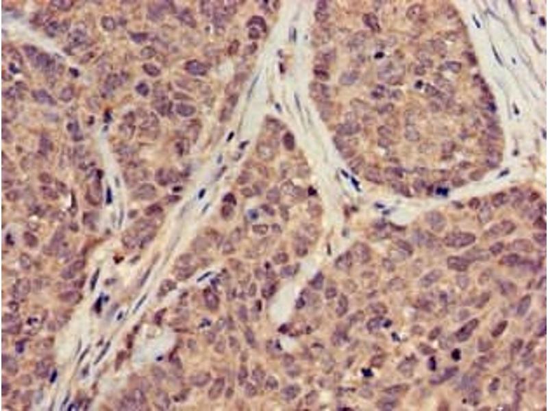
SUMO3 anticorps (AA 1-92)

L’anticorps anti-SUMO3 Polyclonal Lapin est utilisé pour la détection de SUMO3 dans des échantillons de Humain. Il a été validé pour ELISA, IHC et IF.
N° du produit ABIN7169889
328,90 €
Plus frais de livraison 40,00 € et TVA
Destination: France
Envoi sous 11 à 15 jours ouvrables

Aperçu rapide pour SUMO3 anticorps (AA 1-92) (ABIN7169889)

Antigène

Voir toutes SUMO3 Anticorps
SUMO3 (Small Ubiquitin Related Modifier 3 (SUMO3))

Reactivité

  • 45
  • 18
  • 16
  • 3
  • 3
  • 3
  • 2
  • 2
  • 2
  • 2
  • 2
  • 1
  • 1
  • 1
  • 1
  • 1
Humain

Hôte

  • 28
  • 17
  • 2
Lapin

Clonalité

  • 34
  • 14
Polyclonal

Conjugué

  • 32
  • 3
  • 3
  • 2
  • 1
  • 1
  • 1
  • 1
  • 1
  • 1
  • 1
  • 1
Cet anticorp SUMO3 est non-conjugé

Application

  • 35
  • 21
  • 7
  • 5
  • 4
  • 2
  • 1
  • 1
ELISA, Immunohistochemistry (IHC), Immunofluorescence (IF)
  • Épitope

    • 7
    • 5
    • 3
    • 3
    • 1
    • 1
    • 1
    • 1
    • 1
    • 1
    AA 1-92

    Fonction

    SUMO3 Antibody

    Purification

    Protein G purified

    Pureté

    >95 %

    Immunogène

    Recombinant Human Small ubiquitin-related modifier 3 protein (1-92AA)

    Isotype

    IgG
  • Indications d'application

    Optimal working dilution should be determined by the investigator.

    Restrictions

    For Research Use only
  • Format

    Liquid

    Buffer

    Preservative: 0.03 % Proclin 300
    Constituents: 50 % Glycerol, 0.01M PBS, pH 7.4

    Agent conservateur

    ProClin

    Précaution d'utilisation

    This product contains ProClin: a POISONOUS AND HAZARDOUS SUBSTANCE which should be handled by trained staff only.

    Stock

    -20 °C,-80 °C

    Stockage commentaire

    Upon receipt, store at -20°C or -80°C. Avoid repeated freeze.
  • Antigène

    SUMO3 (Small Ubiquitin Related Modifier 3 (SUMO3))

    Autre désignation

    SUMO3

    Sujet

    Background: Ubiquitin-like protein which can be covalently attached to target lysines either as a monomer or as a lysine-linked polymer. Does not seem to be involved in protein degradation and may function as an antagonist of ubiquitin in the degradation process. Plays a role in a number of cellular processes such as nuclear transport, DNA replication and repair, mitosis and signal transduction. Covalent attachment to its substrates requires prior activation by the E1 complex SAE1-SAE2 and linkage to the E2 enzyme UBE2I, and can be promoted by an E3 ligase such as PIAS1-4, RANBP2 or CBX4 (PubMed:11451954, PubMed:18538659, PubMed:21965678). Plays a role in the regulation of sumoylation status of SETX (PubMed:24105744).

    Aliases: Small ubiquitin like modifier 3 antibody, Small ubiquitin related modifier 3 antibody, Small ubiquitin-related modifier 3 antibody, SMT3 homolog 1 antibody, SMT3 suppressor of mif two 3 homolog 1 antibody, SMT3 suppressor of mif two 3 homolog 3 antibody, SMT3, yeast, homolog 1 antibody, SMT3A antibody, Smt3B antibody, SMT3H1 antibody, SUMO-2 antibody, SUMO-3 antibody, sumo3 antibody, SUMO3_HUMAN antibody, Ubiquitin like protein SMT3A antibody, Ubiquitin-like protein SMT3B antibody

    UniProt

    P55854
Vous êtes ici:
Chat with us!