SPIN4 anticorps (AA 1-249)
Aperçu rapide pour SPIN4 anticorps (AA 1-249) (ABIN7170610)
Antigène
Reactivité
Hôte
Clonalité
Conjugué
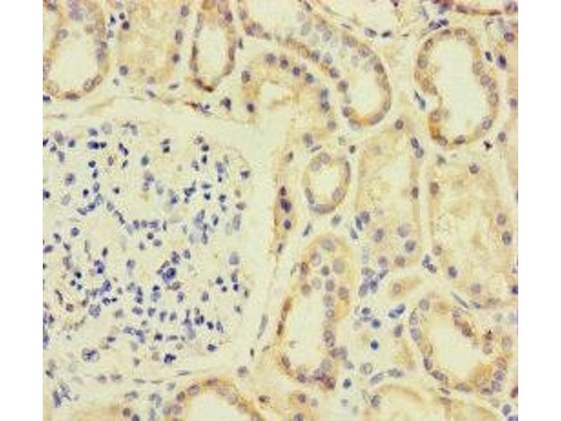
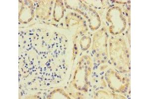
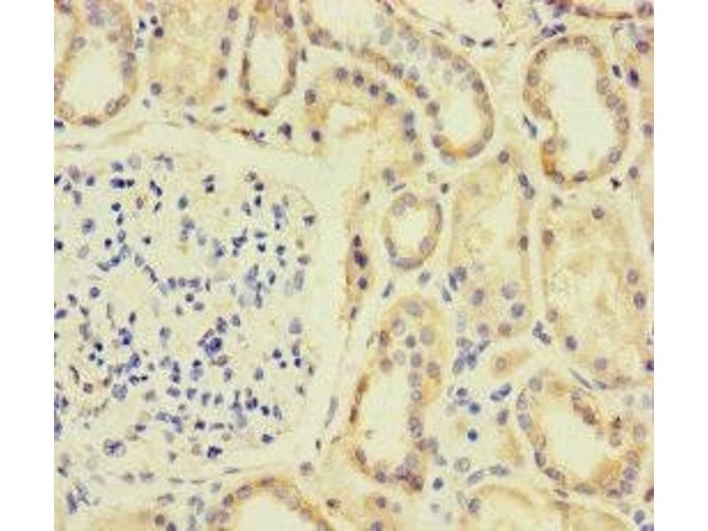
Application
-
-
Épitope
- AA 1-249
-
Fonction
- SPIN4 Antibody
-
Purification
- Protein G purified
-
Pureté
- >95 %
-
Immunogène
- Recombinant Human Spindlin-4 protein (1-249AA)
-
Isotype
- IgG
-
-
-
-
Indications d'application
- Optimal working dilution should be determined by the investigator.
-
Restrictions
- For Research Use only
-
-
-
Format
- Liquid
-
Buffer
-
Preservative: 0.03 % Proclin 300
Constituents: 50 % Glycerol, 0.01M PBS, PH 7.4 -
Agent conservateur
- ProClin
-
Précaution d'utilisation
- This product contains ProClin: a POISONOUS AND HAZARDOUS SUBSTANCE which should be handled by trained staff only.
-
Stock
- -20 °C,-80 °C
-
Stockage commentaire
- Upon receipt, store at -20°C or -80°C. Avoid repeated freeze.
-
-
- SPIN4 (Spindlin Family, Member 4 (SPIN4))
-
Autre désignation
- SPIN4
-
Sujet
- FLJ44984 antibody, RP11-93B10.1 antibody, SPIN4 antibody, SPIN4_HUMAN antibody, Spindlin family, member 4 antibody, Spindlin-4 antibody
-
UniProt
- Q56A73
Antigène
-