×
Pour une meilleure utilisation, nous vous conseillons d’activer Javascript dans votre navigateur.
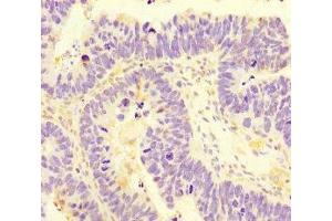
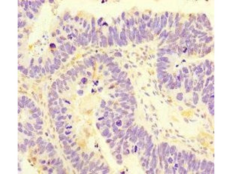
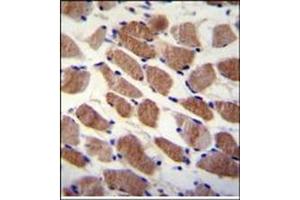
SAMD7 anticorps (AA 1-300)
Cet anticorps anti-SAMD7 Polyclonal Lapin (ABIN7170745) détecte spécifiquement SAMD7 dans ELISA et IHC.
L’anticorps est réactif avec des échantillons de Humain.
N° du produit ABIN7170745
328,90 €
Plus frais de livraison 40,00 € et TVA
50 μg ABIN7356210
100 μg ABIN7170745
50 μg ABIN7356210
100 μg ABIN7170745
Envoi sous 11 à 15 jours ouvrables
Aperçu rapide pour SAMD7 anticorps (AA 1-300) (ABIN7170745)
Antigène
SAMD7
(Sterile alpha Motif Domain Containing 7 (SAMD7))
Reactivité
Toutes les réactivités sur SAMD7 Anticorps
Humain
Hôte
Toutes les hôtes sur SAMD7 Anticorps
Lapin
Clonalité
Toutes les clonalités sur SAMD7 Anticorps
Polyclonal
Conjugué
Tous les conjugués à travers SAMD7 Anticorps
Cet anticorp SAMD7 est non-conjugé
Application
Tous les applications à travers SAMD7 Anticorps.
ELISA, Immunohistochemistry (IHC)
Détail du produit anti-SAMD7 anticorps
(cache)
Épitope
Tous les épitopes à travers SAMD7 Anticorps.
AA 1-300
Fonction
SAMD7 Antibody
Purification
Protein G purified
Pureté
>95 %
Immunogène
Recombinant Human Sterile alpha motif domain-containing protein 7 protein (1-300AA)
Isotype
IgG
Alternatives
(show)
Information d'application
(cache)
Indications d'application
Optimal working dilution should be determined by the investigator.
Restrictions
For Research Use only
Stockage
(cache)
Format
Liquid
Buffer
Preservative: 0.03 % Proclin 300 Constituents: 50 % Glycerol, 0.01M PBS, PH 7.4
Agent conservateur
ProClin
Précaution d'utilisation
This product contains ProClin: a POISONOUS AND HAZARDOUS SUBSTANCE which should be handled by trained staff only.
Stock
-20 °C,-80 °C
Stockage commentaire
Upon receipt, store at -20°C or -80°C. Avoid repeated freeze.
Détails sur SAMD7
(cache)
Antigène
SAMD7
(Sterile alpha Motif Domain Containing 7 (SAMD7))
Autre désignation
SAMD7
Sujet
SAMD7 antibody, Sterile alpha motif domain-containing protein 7 antibody, SAM domain-containing protein 7 antibody
UniProt
Q7Z3H4
Vus récemment
(cache)
Chat with us , powered by LiveChat