Tel:
+49 (0)241 95 163 153
Fax:
+49 (0)241 95 163 155
E-Mail:
orders@anticorps-enligne.fr

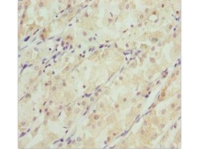
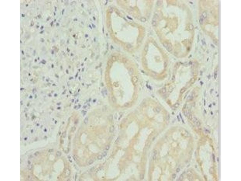
SNAP29 anticorps (AA 1-258)

Cet anticorps Lapin Polyclonal détecte spécifiquement SNAP29 dans ELISA et IHC. Il présente une réactivité avec des échantillons de Humain.
N° du produit ABIN7171148
328,90 €
Plus frais de livraison 40,00 € et TVA
Destination: France
Envoi sous 11 à 15 jours ouvrables

Aperçu rapide pour SNAP29 anticorps (AA 1-258) (ABIN7171148)

Antigène

Voir toutes SNAP29 Anticorps
SNAP29 (Synaptosomal-Associated Protein, 29kDa (SNAP29))

Reactivité

  • 36
  • 34
  • 19
  • 3
  • 3
  • 2
  • 1
  • 1
  • 1
Humain

Hôte

  • 49
  • 3
  • 1
Lapin

Clonalité

  • 38
  • 15
Polyclonal

Conjugué

  • 23
  • 3
  • 2
  • 2
  • 2
  • 2
  • 2
  • 2
  • 1
  • 1
  • 1
  • 1
  • 1
  • 1
  • 1
  • 1
  • 1
  • 1
  • 1
  • 1
  • 1
  • 1
  • 1
Cet anticorp SNAP29 est non-conjugé

Application

  • 44
  • 14
  • 13
  • 13
  • 10
  • 5
  • 4
  • 3
  • 3
  • 3
  • 1
ELISA, Immunohistochemistry (IHC)
  • Épitope

    • 15
    • 5
    • 2
    • 1
    • 1
    • 1
    • 1
    • 1
    • 1
    • 1
    • 1
    AA 1-258

    Fonction

    SNAP29 Antibody

    Purification

    Antigen Affinity Purified

    Immunogène

    Recombinant Human Synaptosomal-associated protein 29 protein (1-258AA)

    Isotype

    IgG
  • Indications d'application

    Optimal working dilution should be determined by the investigator.

    Restrictions

    For Research Use only
  • Format

    Liquid

    Buffer

    PBS with 0.02 % sodium azide, 50 % glycerol, pH 7.3.

    Agent conservateur

    Sodium azide

    Précaution d'utilisation

    This product contains Sodium azide: a POISONOUS AND HAZARDOUS SUBSTANCE which should be handled by trained staff only.

    Stock

    -20 °C,-80 °C

    Stockage commentaire

    Upon receipt, store at -20°C or -80°C. Avoid repeated freeze.
  • Antigène

    SNAP29 (Synaptosomal-Associated Protein, 29kDa (SNAP29))

    Autre désignation

    SNAP29

    Sujet

    Background: SNAREs, soluble N-ethylmaleimide-sensitive factor-attachment protein receptors, are essential proteins for fusion of cellular membranes. SNAREs localized on opposing membranes assemble to form a trans-SNARE complex, an extended, parallel four alpha-helical bundle that drives membrane fusion. SNAP29 is a SNARE involved in autophagy through the direct control of autophagosome membrane fusion with the lysososome membrane. Plays also a role in ciliogenesis by regulating membrane fusions.

    Aliases: CEDNIK antibody, FLJ21051 antibody, SNAP 29 antibody, SNAP-29 antibody, SNAP29 antibody, SNP29_HUMAN antibody, Soluble 29 kDa NSF attachment protein antibody, Synaptosomal associated protein 29 antibody, Synaptosomal associated protein 29 kDa antibody, Synaptosomal-associated protein 29 antibody, Vesicle membrane fusion protein SNAP 29 antibody, Vesicle membrane fusion protein SNAP29 antibody, Vesicle-membrane fusion protein SNAP-29 antibody

    UniProt

    O95721
Vous êtes ici:
Chat with us!