Tel:
+49 (0)241 95 163 153
Fax:
+49 (0)241 95 163 155
E-Mail:
orders@anticorps-enligne.fr

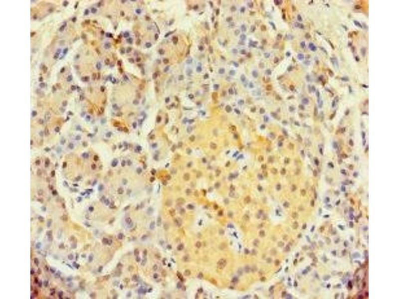
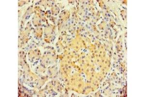
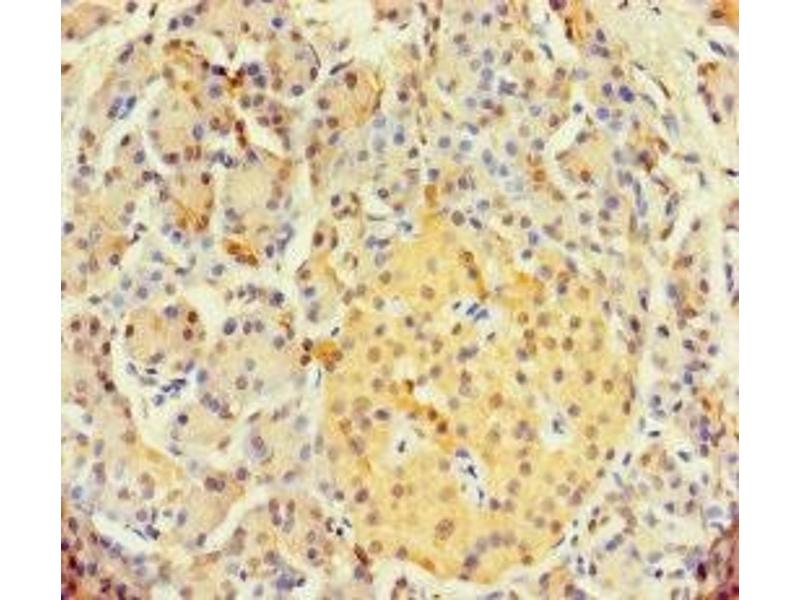
SYCN anticorps (AA 22-134)

Cet anticorps Lapin Polyclonal détecte spécifiquement SYCN dans ELISA et IHC. Il présente une réactivité avec des échantillons de Humain.
N° du produit ABIN7171175
328,90 €
Plus frais de livraison 40,00 € et TVA
Destination: France
Envoi sous 11 à 15 jours ouvrables

Aperçu rapide pour SYCN anticorps (AA 22-134) (ABIN7171175)

Antigène

Voir toutes SYCN Anticorps
SYCN (Syncollin (SYCN))

Reactivité

  • 12
  • 3
  • 3
  • 2
  • 1
  • 1
  • 1
Humain

Hôte

  • 11
  • 2
Lapin

Clonalité

  • 11
  • 2
Polyclonal

Conjugué

  • 9
  • 2
  • 1
  • 1
Cet anticorp SYCN est non-conjugé

Application

  • 9
  • 4
  • 3
  • 3
  • 3
  • 1
  • 1
  • 1
ELISA, Immunohistochemistry (IHC)
  • Épitope

    • 5
    • 2
    • 2
    • 1
    • 1
    AA 22-134

    Fonction

    SYCN Antibody

    Purification

    Protein G purified

    Pureté

    >95 %

    Immunogène

    Recombinant Human Syncollin protein (22-134AA)

    Isotype

    IgG
  • Indications d'application

    Optimal working dilution should be determined by the investigator.

    Restrictions

    For Research Use only
  • Format

    Liquid

    Buffer

    Preservative: 0.03 % Proclin 300
    Constituents: 50 % Glycerol, 0.01M PBS, PH 7.4

    Agent conservateur

    ProClin

    Précaution d'utilisation

    This product contains ProClin: a POISONOUS AND HAZARDOUS SUBSTANCE which should be handled by trained staff only.

    Stock

    -20 °C,-80 °C

    Stockage commentaire

    Upon receipt, store at -20°C or -80°C. Avoid repeated freeze.
  • Antigène

    SYCN (Syncollin (SYCN))

    Autre désignation

    SYCN

    Sujet

    Background: Functions in exocytosis in pancreatic acinar cells regulating the fusion of zymogen granules with each other. May have a pore-forming activity on membranes and regulate exocytosis in other exocrine tissues.

    Aliases: 0910001K16Rik antibody, 1810038B08Rik antibody, FLJ27441 antibody, INSSA1 antibody, Insulin synthesis associated protein 1 antibody, Insulin synthesis-associated protein 1 antibody, Sycn antibody, SYCN_HUMAN antibody, SYL antibody, Syncollin antibody

    UniProt

    Q0VAF6
Vous êtes ici:
Chat with us!