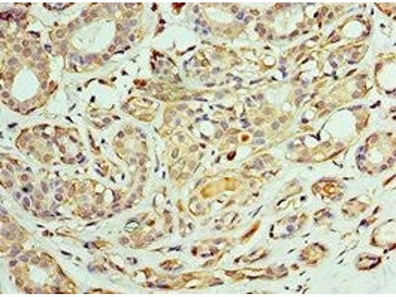
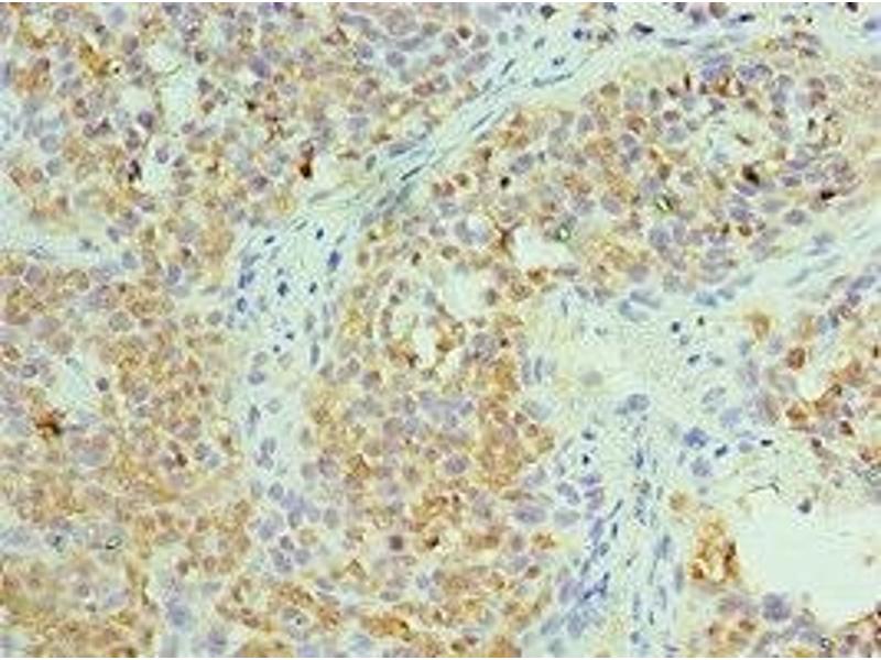
CCT6A anticorps (AA 80-250)
Aperçu rapide pour CCT6A anticorps (AA 80-250) (ABIN7171432)
Antigène
Voir toutes CCT6A AnticorpsReactivité
Hôte
Clonalité
Conjugué
Application
-
-
Épitope
- AA 80-250
-
Fonction
- CCT6A Antibody
-
Purification
- Antigen Affinity Purified
-
Immunogène
- Recombinant Human T-complex protein 1 subunit zeta protein (80-250AA)
-
Isotype
- IgG
-
-
-
-
Indications d'application
- Optimal working dilution should be determined by the investigator.
-
Restrictions
- For Research Use only
-
-
-
Format
- Liquid
-
Buffer
- PBS with 0.02 % sodium azide, 50 % glycerol, pH 7.3.
-
Agent conservateur
- Sodium azide
-
Précaution d'utilisation
- This product contains Sodium azide: a POISONOUS AND HAZARDOUS SUBSTANCE which should be handled by trained staff only.
-
Stock
- -20 °C,-80 °C
-
Stockage commentaire
- Upon receipt, store at -20°C or -80°C. Avoid repeated freeze.
-
-
- CCT6A (Chaperonin Containing TCP1, Subunit 6A (Zeta 1) (CCT6A))
-
Autre désignation
- CCT6A
-
Sujet
-
Background: Molecular chaperone, assists the folding of proteins upon ATP hydrolysis. Known to play a role, in vitro, in the folding of actin and tubulin.
Aliases: CCT6A antibody, CCT6 antibody, CCTZ antibody, T-complex protein 1 subunit zeta antibody, TCP-1-zeta antibody, Acute morphine dependence-related protein 2 antibody, CCT-zeta-1 antibody, HTR3 antibody, Tcp20 antibody
-
UniProt
- P40227
Antigène
-