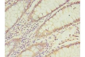
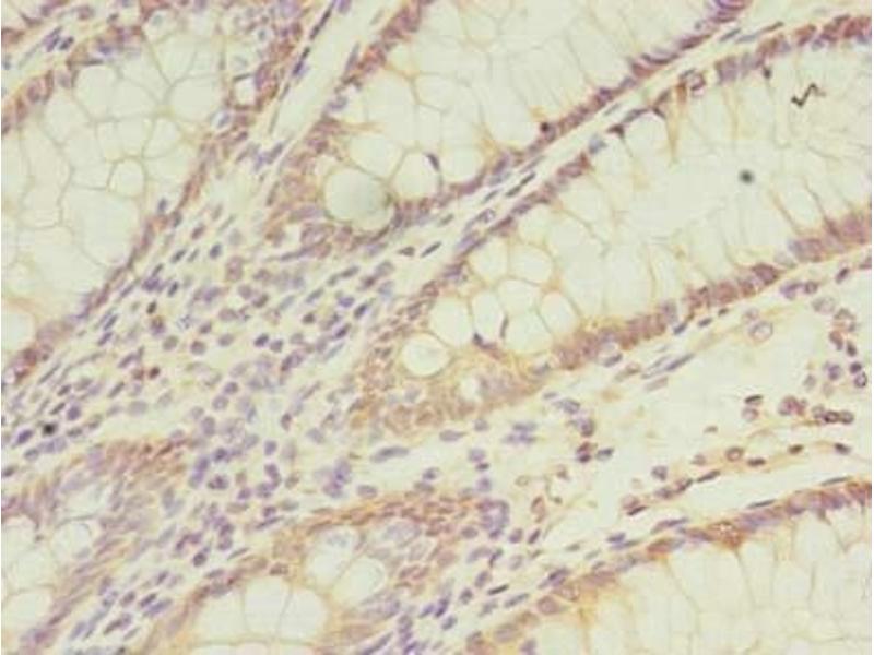
CCT6B anticorps (AA 101-330)
Aperçu rapide pour CCT6B anticorps (AA 101-330) (ABIN7171437)
Antigène
Voir toutes CCT6B AnticorpsReactivité
Hôte
Clonalité
Conjugué
Application
-
-
Épitope
- AA 101-330
-
Fonction
- CCT6B Antibody
-
Purification
- Protein G purified
-
Pureté
- >95 %
-
Immunogène
- Recombinant Human T-complex protein 1 subunit zeta-2 protein (101-330AA)
-
Isotype
- IgG
-
-
-
-
Indications d'application
- Optimal working dilution should be determined by the investigator.
-
Restrictions
- For Research Use only
-
-
-
Format
- Liquid
-
Buffer
-
Preservative: 0.03 % Proclin 300
Constituents: 50 % Glycerol, 0.01M PBS, PH 7.4 -
Agent conservateur
- ProClin
-
Précaution d'utilisation
- This product contains ProClin: a POISONOUS AND HAZARDOUS SUBSTANCE which should be handled by trained staff only.
-
Stock
- -20 °C,-80 °C
-
Stockage commentaire
- Upon receipt, store at -20°C or -80°C. Avoid repeated freeze.
-
-
- CCT6B (T-Complex Protein 1 Subunit zeta-2-Like (CCT6B))
-
Autre désignation
- CCT6B
-
Sujet
-
Background: Molecular chaperone, assists the folding of proteins upon ATP hydrolysis. Known to play a role, in vitro, in the folding of actin and tubulin (By similarity).
Aliases: CCT6B antibody, T-complex protein 1 subunit zeta-2 antibody, TCP-1-zeta-2 antibody, CCT-zeta-2 antibody, CCT-zeta-like antibody, TCP-1-zeta-like antibody, Testis-specific Tcp20 antibody, Testis-specific protein TSA303 antibody
-
UniProt
- Q92526
Antigène
-