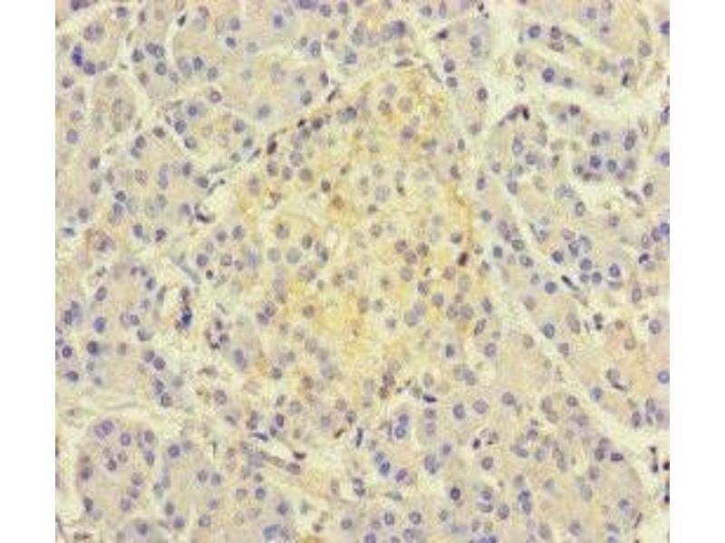
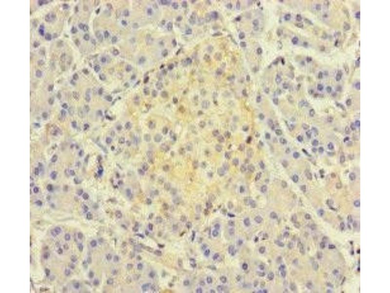
TSNARE1 anticorps (AA 6-339)
Aperçu rapide pour TSNARE1 anticorps (AA 6-339) (ABIN7171466)
Antigène
Reactivité
Hôte
Clonalité
Conjugué
Application
-
-
Épitope
- AA 6-339
-
Fonction
- TSNARE1 Antibody
-
Purification
- Protein G purified
-
Pureté
- >95 %
-
Immunogène
- Recombinant Human t-SNARE domain-containing protein 1 protein (6-339AA)
-
Isotype
- IgG
-
-
-
-
Indications d'application
- Optimal working dilution should be determined by the investigator.
-
Restrictions
- For Research Use only
-
-
-
Format
- Liquid
-
Buffer
-
Preservative: 0.03 % Proclin 300
Constituents: 50 % Glycerol, 0.01M PBS, PH 7.4 -
Agent conservateur
- ProClin
-
Précaution d'utilisation
- This product contains ProClin: a POISONOUS AND HAZARDOUS SUBSTANCE which should be handled by trained staff only.
-
Stock
- -20 °C,-80 °C
-
Stockage commentaire
- Upon receipt, store at -20°C or -80°C. Avoid repeated freeze.
-
-
- TSNARE1 (T-SNARE Domain Containing 1 (TSNARE1))
-
Autre désignation
- TSNARE1
-
Sujet
-
Background: endomembrane system, integral component of membrane, SNARE complex, SNAP receptor activity, SNARE binding, intracellular protein transport, vesicle docking, vesicle fusion
Aliases: t-SNARE domain-containing protein 1 antibody, TSNA1_HUMAN antibody, TSNARE1 antibody
-
UniProt
- Q96NA8
Antigène
-