Tel:
+49 (0)241 95 163 153
Fax:
+49 (0)241 95 163 155
E-Mail:
orders@anticorps-enligne.fr

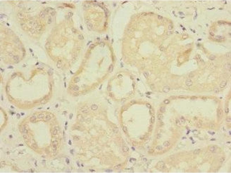
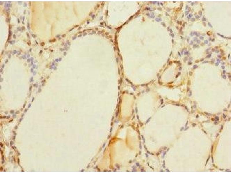
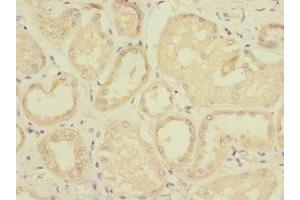
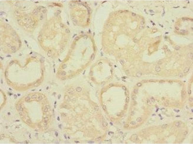
TAPBPL anticorps (AA 201-468)

Cet anticorps anti-TAPBPL Polyclonal Lapin (ABIN7171504) détecte spécifiquement TAPBPL dans ELISA et IHC. L’anticorps est réactif avec des échantillons de Humain.
N° du produit ABIN7171504
328,90 €
Plus frais de livraison 40,00 € et TVA
Destination: France
Envoi sous 11 à 15 jours ouvrables

Aperçu rapide pour TAPBPL anticorps (AA 201-468) (ABIN7171504)

Antigène

Voir toutes TAPBPL Anticorps
TAPBPL (TAP Binding Protein-Like (TAPBPL))

Reactivité

  • 26
  • 4
  • 3
  • 2
  • 2
  • 2
  • 2
  • 1
  • 1
  • 1
  • 1
  • 1
Humain

Hôte

  • 20
  • 7
Lapin

Clonalité

  • 21
  • 6
Polyclonal

Conjugué

  • 18
  • 3
  • 2
  • 2
  • 1
  • 1
Cet anticorp TAPBPL est non-conjugé

Application

  • 22
  • 12
  • 3
  • 3
  • 2
  • 1
ELISA, Immunohistochemistry (IHC)
  • Épitope

    • 7
    • 4
    • 3
    • 3
    • 2
    • 1
    • 1
    • 1
    • 1
    AA 201-468

    Fonction

    TAPBPL Antibody

    Purification

    Protein G purified

    Pureté

    >95 %

    Immunogène

    Recombinant Human Tapasin-related protein (201-468AA)

    Isotype

    IgG
  • Indications d'application

    Optimal working dilution should be determined by the investigator.

    Restrictions

    For Research Use only
  • Format

    Liquid

    Buffer

    Preservative: 0.03 % Proclin 300
    Constituents: 50 % Glycerol, 0.01M PBS, PH 7.4

    Agent conservateur

    ProClin

    Précaution d'utilisation

    This product contains ProClin: a POISONOUS AND HAZARDOUS SUBSTANCE which should be handled by trained staff only.

    Stock

    -20 °C,-80 °C

    Stockage commentaire

    Upon receipt, store at -20°C or -80°C. Avoid repeated freeze.
  • Antigène

    TAPBPL (TAP Binding Protein-Like (TAPBPL))

    Autre désignation

    TAPBPL

    Sujet

    Background: Component of the antigen processing and presentation pathway, which binds to MHC class I coupled with beta2-microglobulin/B2M. Association between TAPBPR and MHC class I occurs in the absence of a functional peptide-loading complex (PLC). Expression seems to slow down and down-regulate MHC class I surface expression.

    Aliases: FLJ10143 antibody, TAP binding protein like antibody, TAP binding protein related antibody, TAP binding protein related protein antibody, TAP-binding protein-like antibody, TAP-binding protein-related protein antibody, Tapasin like antibody, Tapasin R antibody, Tapasin Related Protein antibody, Tapasin-like antibody, TAPASIN-R antibody, Tapasin-related protein antibody, TAPBP L antibody, TAPBP R antibody, TAPBP-R antibody, Tapbpl antibody, TAPBPR antibody, TPSNR_HUMAN antibody

    UniProt

    Q9BX59
Vous êtes ici:
Chat with us!