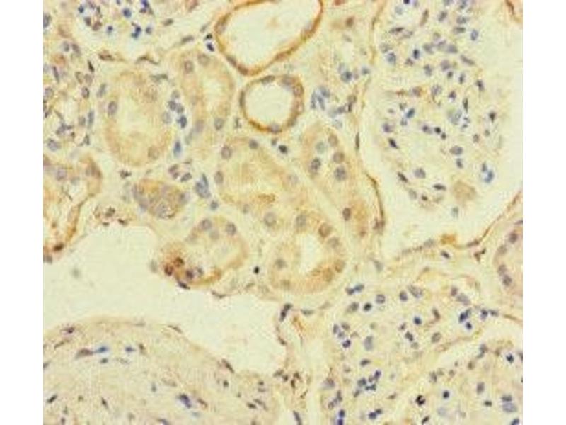
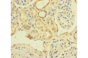
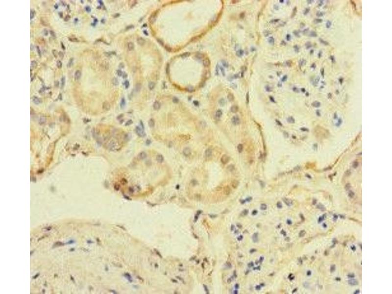
TBC1D24 anticorps (AA 1-169)
Aperçu rapide pour TBC1D24 anticorps (AA 1-169) (ABIN7171622)
Antigène
Voir toutes TBC1D24 AnticorpsReactivité
Hôte
Clonalité
Conjugué
Application
-
-
Épitope
- AA 1-169
-
Fonction
- TBC1D24 Antibody
-
Purification
- Protein G purified
-
Pureté
- >95 %
-
Immunogène
- Recombinant Human TBC1 domain family member 24 protein (1-169AA)
-
Isotype
- IgG
-
-
-
-
Indications d'application
- Optimal working dilution should be determined by the investigator.
-
Restrictions
- For Research Use only
-
-
-
Format
- Liquid
-
Buffer
-
Preservative: 0.03 % Proclin 300
Constituents: 50 % Glycerol, 0.01M PBS, PH 7.4 -
Agent conservateur
- ProClin
-
Précaution d'utilisation
- This product contains ProClin: a POISONOUS AND HAZARDOUS SUBSTANCE which should be handled by trained staff only.
-
Stock
- -20 °C,-80 °C
-
Stockage commentaire
- Upon receipt, store at -20°C or -80°C. Avoid repeated freeze.
-
-
- TBC1D24 (TBC1 Domain Family, Member 24 (TBC1D24))
-
Autre désignation
- TBC1D24
-
Sujet
-
Background: May act as a GTPase-activating protein for Rab family protein(s). Involved in neuronal projections development, probably through a negative modulation of ARF6 function.
Aliases: TBC1D24 antibody, KIAA1171 antibody, TBC1 domain family member 24 antibody
-
UniProt
- Q9ULP9
Antigène
-