Tel:
+49 (0)241 95 163 153
Fax:
+49 (0)241 95 163 155
E-Mail:
orders@anticorps-enligne.fr

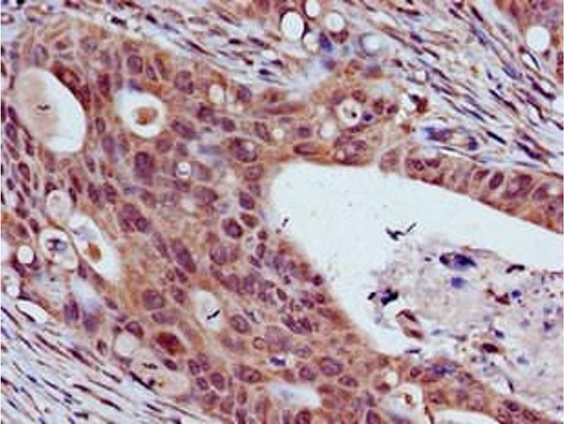
THO Complex 3 anticorps (AA 2-351)

Cet anticorps Lapin Polyclonal détecte spécifiquement THO Complex 3 dans ELISA et IHC. Il présente une réactivité avec des échantillons de Humain.
N° du produit ABIN7172051
328,90 €
Plus frais de livraison 40,00 € et TVA
Destination: France
Envoi sous 11 à 15 jours ouvrables

Aperçu rapide pour THO Complex 3 anticorps (AA 2-351) (ABIN7172051)

Antigène

Voir toutes THO Complex 3 (THOC3) Anticorps
THO Complex 3 (THOC3)

Reactivité

  • 25
  • 8
  • 5
  • 5
  • 3
  • 3
  • 3
  • 3
  • 3
  • 2
  • 2
  • 2
Humain

Hôte

  • 22
  • 3
Lapin

Clonalité

  • 23
  • 2
Polyclonal

Conjugué

  • 16
  • 3
  • 2
  • 2
  • 1
  • 1
Cet anticorp THO Complex 3 est non-conjugé

Application

  • 20
  • 14
  • 5
  • 1
  • 1
  • 1
ELISA, Immunohistochemistry (IHC)
  • Épitope

    • 8
    • 4
    • 2
    • 2
    • 1
    • 1
    • 1
    • 1
    • 1
    • 1
    • 1
    • 1
    AA 2-351

    Fonction

    THOC3 Antibody

    Purification

    Protein G purified

    Pureté

    >95 %

    Immunogène

    Recombinant Human THO complex subunit 3 protein (2-351AA)

    Isotype

    IgG
  • Indications d'application

    Optimal working dilution should be determined by the investigator.

    Restrictions

    For Research Use only
  • Format

    Liquid

    Buffer

    Preservative: 0.03 % Proclin 300
    Constituents: 50 % Glycerol, 0.01M PBS, PH 7.4

    Agent conservateur

    ProClin

    Précaution d'utilisation

    This product contains ProClin: a POISONOUS AND HAZARDOUS SUBSTANCE which should be handled by trained staff only.

    Stock

    -20 °C,-80 °C

    Stockage commentaire

    Upon receipt, store at -20°C or -80°C. Avoid repeated freeze.
  • Antigène

    THO Complex 3 (THOC3)

    Autre désignation

    THOC3

    Sujet

    Background: Required for efficient export of polyadenylated RNA and spliced mRNA. Acts as component of the THO subcomplex of the TREX complex which is thought to couple mRNA transcription, processing and nuclear export, and which specifically associates with spliced mRNA and not with unspliced pre-mRNA. TREX is recruited to spliced mRNAs by a transcription-independent mechanism, binds to mRNA upstream of the exon-junction complex (EJC) and is recruited in a splicing- and cap-dependent manner to a region near the 5\' end of the mRNA where it functions in mRNA export to the cytoplasm via the TAP/NFX1 pathway. The TREX complex is essential for the export of Kaposi\'s sarcoma-associated herpesvirus (KSHV) intronless mRNAs and infectious virus production.

    Aliases: hTREX45 antibody, TEX1 homolog antibody, THO complex subunit 3 antibody, Tho3 antibody, THOC3 antibody, THOC3_HUMAN antibody

    UniProt

    Q96J01
Vous êtes ici:
Chat with us!