Tel:
+49 (0)241 95 163 153
Fax:
+49 (0)241 95 163 155
E-Mail:
orders@anticorps-enligne.fr

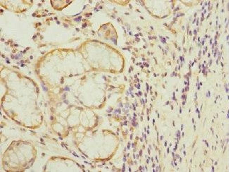
MTERFD1 anticorps (N-Term)

Cet anticorps Lapin Polyclonal détecte spécifiquement MTERFD1 dans WB, ELISA et IHC. Il présente une réactivité avec des échantillons de Humain.
N° du produit ABIN7172732
328,90 €
Plus frais de livraison 40,00 € et TVA
Destination: France
Envoi sous 11 à 15 jours ouvrables

Aperçu rapide pour MTERFD1 anticorps (N-Term) (ABIN7172732)

Antigène

Voir toutes MTERFD1 Anticorps
MTERFD1 (MTERF Domain Containing 1 (MTERFD1))

Reactivité

  • 4
  • 3
  • 1
Humain

Hôte

  • 4
Lapin

Clonalité

  • 4
Polyclonal

Conjugué

  • 4
Cet anticorp MTERFD1 est non-conjugé

Application

  • 4
  • 3
  • 2
  • 1
  • 1
  • 1
Western Blotting (WB), ELISA, Immunohistochemistry (IHC)
  • Épitope

    AA 69-300, N-Term

    Fonction

    MTERF3 Antibody

    Purification

    Antigen Affinity Purified

    Immunogène

    Recombinant Human Transcription termination factor 3, mitochondrial protein (69-300AA)

    Isotype

    IgG
  • Indications d'application

    Optimal working dilution should be determined by the investigator.

    Restrictions

    For Research Use only
  • Format

    Liquid

    Buffer

    PBS with 0.02 % sodium azide, 50 % glycerol, pH 7.3.

    Agent conservateur

    Sodium azide

    Précaution d'utilisation

    This product contains Sodium azide: a POISONOUS AND HAZARDOUS SUBSTANCE which should be handled by trained staff only.

    Stock

    -20 °C,-80 °C

    Stockage commentaire

    Upon receipt, store at -20°C or -80°C. Avoid repeated freeze.
  • Antigène

    MTERFD1 (MTERF Domain Containing 1 (MTERFD1))

    Autre désignation

    MTERF3

    Sujet

    Background: Binds promoter DNA and regulates initiation of transcription. Required for normal mitochondrial transcription, and for normal assembly of mitochondrial respiratory complexes. Required for normal mitochondrial function (By similarity).

    Aliases: CGI 12 antibody, mitochondrial antibody, Mitochondrial transcription termination factor 3 antibody, MTER1_HUMAN antibody, MTERF domain containing 1 antibody, mTERF domain containing protein 1 mitochondrial antibody, mTERF domain-containing protein 1 antibody, mTERF3 antibody, Mterfd1 antibody, Transcription termination factor 3, mitochondrial antibody

    UniProt

    Q96E29
Vous êtes ici:
Chat with us!