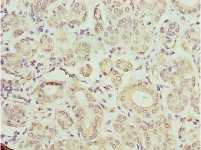
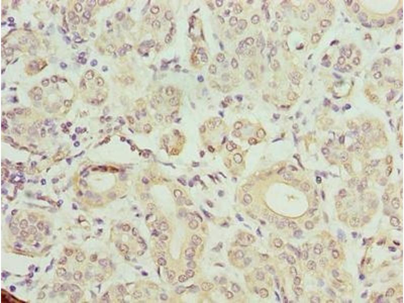
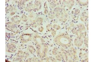
TMCC1 anticorps (AA 51-300)
Aperçu rapide pour TMCC1 anticorps (AA 51-300) (ABIN7172953)
Antigène
Reactivité
Hôte
Clonalité
Conjugué
Application
-
-
Épitope
- AA 51-300
-
Fonction
- TMCC1 Antibody
-
Réactivité croisée
- Souris
-
Purification
- Antigen Affinity Purified
-
Immunogène
- Recombinant Human Transmembrane and coiled-coil domains protein 1 protein (51-300AA)
-
Isotype
- IgG
-
-
-
-
Indications d'application
- Optimal working dilution should be determined by the investigator.
-
Restrictions
- For Research Use only
-
-
-
Format
- Liquid
-
Buffer
-
Preservative: 0.03 % Proclin 300
Constituents: 50 % Glycerol, 0.01M PBS, PH 7.4 -
Agent conservateur
- ProClin
-
Précaution d'utilisation
- This product contains ProClin: a POISONOUS AND HAZARDOUS SUBSTANCE which should be handled by trained staff only.
-
Stock
- -20 °C,-80 °C
-
Stockage commentaire
- Upon receipt, store at -20°C or -80°C. Avoid repeated freeze.
-
-
- TMCC1 (Transmembrane and Coiled-Coil Domain Family 1 (TMCC1))
-
Autre désignation
- TMCC1
-
Sujet
- TMCC1 antibody, KIAA0779 antibody, Transmembrane and coiled-coil domains protein 1 antibody
-
UniProt
- O94876
Antigène
-