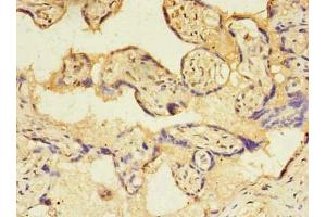
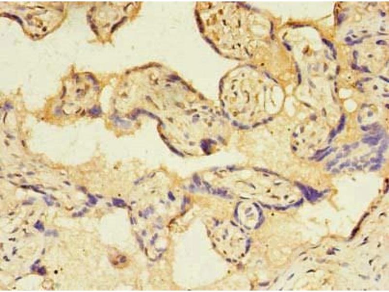
TMED3 anticorps (AA 24-180)
Aperçu rapide pour TMED3 anticorps (AA 24-180) (ABIN7172979)
Antigène
Voir toutes TMED3 AnticorpsReactivité
Hôte
Clonalité
Conjugué
Application
-
-
Épitope
- AA 24-180
-
Fonction
- TMED3 Antibody
-
Purification
- Protein G purified
-
Pureté
- >95 %
-
Immunogène
- Recombinant Human Transmembrane emp24 domain-containing protein 3 protein (24-180AA)
-
Isotype
- IgG
-
-
-
-
Indications d'application
- Optimal working dilution should be determined by the investigator.
-
Restrictions
- For Research Use only
-
-
-
Format
- Liquid
-
Buffer
-
Preservative: 0.03 % Proclin 300
Constituents: 50 % Glycerol, 0.01M PBS, PH 7.4 -
Agent conservateur
- ProClin
-
Précaution d'utilisation
- This product contains ProClin: a POISONOUS AND HAZARDOUS SUBSTANCE which should be handled by trained staff only.
-
Stock
- -20 °C,-80 °C
-
Stockage commentaire
- Upon receipt, store at -20°C or -80°C. Avoid repeated freeze.
-
-
- TMED3 (Transmembrane Emp24 Protein Transport Domain Containing 3 (TMED3))
-
Autre désignation
- TMED3
-
Sujet
-
Background: Potential role in vesicular protein trafficking, mainly in the early secretory pathway. Contributes to the coupled localization of TMED2 and TMED10 in the cis-Golgi network.
Aliases: C15orf22 antibody, Integral type I protein antibody, Membrane protein p24B antibody, p24 family protein gamma 4 antibody, p24 family protein gamma-4 antibody, P24B antibody, p24g4 antibody, p24gamma4 antibody, p26 antibody, Testis tissue sperm binding protein Li 48e antibody, Tmed3 antibody, TMED3_HUMAN antibody, Transmembrane emp24 domain containing protein 3 antibody, Transmembrane emp24 domain-containing protein 3 antibody, Transmembrane p24 trafficking protein 3 antibody, UNQ5357/PRO1078 antibody
-
UniProt
- Q9Y3Q3
Antigène
-