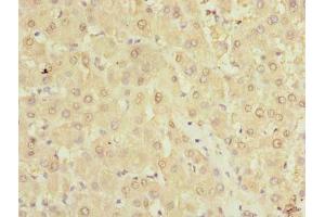
TMPRSS6 anticorps (AA 98-301)
Aperçu rapide pour TMPRSS6 anticorps (AA 98-301) (ABIN7173011)
Antigène
Voir toutes TMPRSS6 AnticorpsReactivité
Hôte
Clonalité
Conjugué
Application
-
-
Épitope
- AA 98-301
-
Fonction
- TMPRSS6 Antibody
-
Purification
- Protein G purified
-
Pureté
- >95 %
-
Immunogène
- Recombinant Human Transmembrane protease serine 6 protein (98-301AA)
-
Isotype
- IgG
-
-
-
-
Indications d'application
- Optimal working dilution should be determined by the investigator.
-
Restrictions
- For Research Use only
-
-
-
Format
- Liquid
-
Buffer
-
Preservative: 0.03 % Proclin 300
Constituents: 50 % Glycerol, 0.01M PBS, PH 7.4 -
Agent conservateur
- ProClin
-
Précaution d'utilisation
- This product contains ProClin: a POISONOUS AND HAZARDOUS SUBSTANCE which should be handled by trained staff only.
-
Stock
- -20 °C,-80 °C
-
Stockage commentaire
- Upon receipt, store at -20°C or -80°C. Avoid repeated freeze.
-
-
- TMPRSS6 (Transmembrane Protease, serine 6 (TMPRSS6))
-
Autre désignation
- TMPRSS6
-
Sujet
-
Background: Serine protease which hydrolyzes a range of proteins including type I collagen, fibronectin and fibrinogen. Can also activate urokinase-type plasminogen activator with low efficiency. May play a specialized role in matrix remodeling processes in liver. Through the cleavage of HFE2, a regulator of the expression of the iron absorption-regulating hormone hepicidin/HAMP, plays a role in iron homeostasis.
Aliases: IRIDA antibody, Matriptase-2 antibody, Membrane bound mosaic serine proteinase matriptase 2 antibody, Membrane type serine proteinase 2 antibody, MTSP 2 antibody, MTSP2 antibody, PVAE354 antibody, TMPRSS 6 antibody, TMPRSS6 antibody, TMPS6_HUMAN antibody, TMSP 6 antibody, TMSP6 antibody, Transmembrane protease serine 6 antibody, Type II Membrane Serine Proteinase 6 antibody
-
UniProt
- Q8IU80
-
Pathways
- Transition Metal Ion Homeostasis
Antigène
-