×
Pour une meilleure utilisation, nous vous conseillons d’activer Javascript dans votre navigateur.
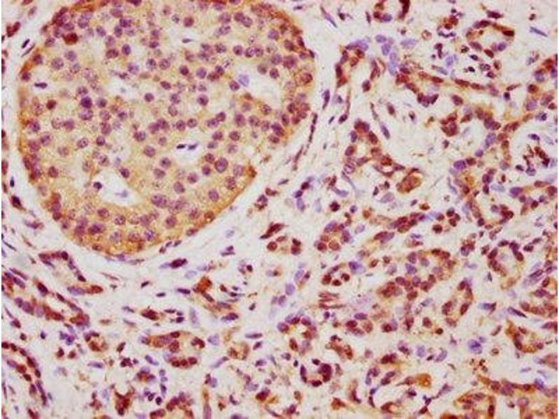
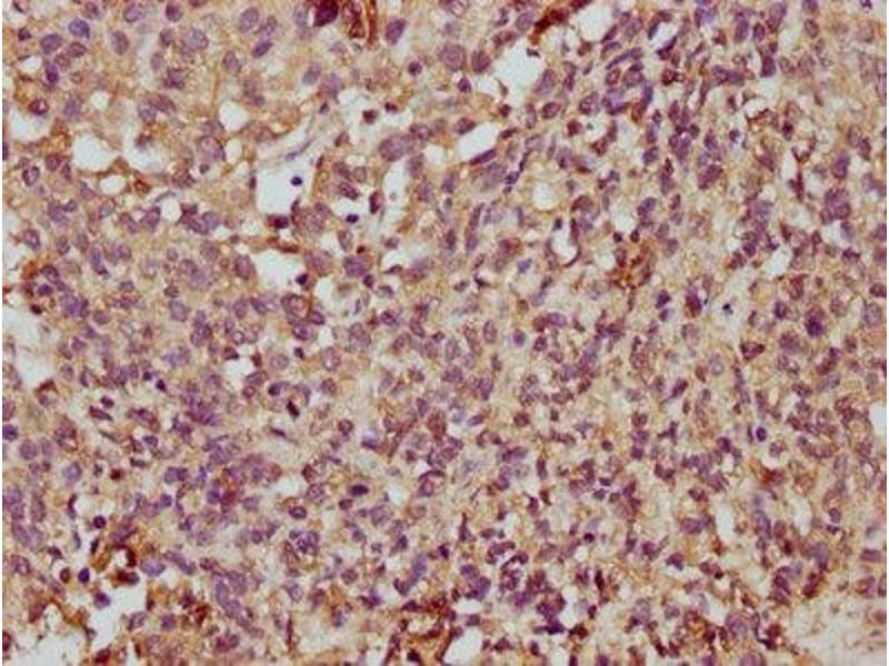
TMEM14A anticorps (AA 45-78)
Cet anticorps anti-TMEM14A Polyclonal Lapin (ABIN7173067) détecte spécifiquement TMEM14A dans ELISA, WB, IF et IHC.
L’anticorps est réactif avec des échantillons de Humain.
N° du produit ABIN7173067
328,90 €
Plus frais de livraison 40,00 € et TVA
50 μg ABIN7349215
100 μg ABIN7173067
50 μg ABIN7349215
100 μg ABIN7173067
Envoi sous 11 à 15 jours ouvrables
Aperçu rapide pour TMEM14A anticorps (AA 45-78) (ABIN7173067)
Antigène
TMEM14A
(Transmembrane Protein 14A (TMEM14A))
Reactivité
Humain
Hôte
Toutes les hôtes sur TMEM14A Anticorps
Lapin
Clonalité
Toutes les clonalités sur TMEM14A Anticorps
Polyclonal
Conjugué
Tous les conjugués à travers TMEM14A Anticorps
Cet anticorp TMEM14A est non-conjugé
Application
ELISA, Western Blotting (WB), Immunofluorescence (IF), Immunohistochemistry (IHC)
Détail du produit anti-TMEM14A anticorps
(cache)
Épitope
Tous les épitopes à travers TMEM14A Anticorps.
AA 45-78
Fonction
TMEM14A Antibody
Purification
Protein G purified
Pureté
>95 %
Immunogène
Recombinant Human Transmembrane protein 14A protein (45-78AA)
Isotype
IgG
Alternatives
(show)
Information d'application
(cache)
Indications d'application
Optimal working dilution should be determined by the investigator.
Restrictions
For Research Use only
Stockage
(cache)
Format
Liquid
Buffer
Preservative: 0.03 % Proclin 300 Constituents: 50 % Glycerol, 0.01M PBS, PH 7.4
Agent conservateur
ProClin
Précaution d'utilisation
This product contains ProClin: a POISONOUS AND HAZARDOUS SUBSTANCE which should be handled by trained staff only.
Stock
-20 °C,-80 °C
Stockage commentaire
Upon receipt, store at -20°C or -80°C. Avoid repeated freeze.
Détails sur TMEM14A
(cache)
Antigène
TMEM14A
(Transmembrane Protein 14A (TMEM14A))
Autre désignation
TMEM14A
Sujet
TM14A_HUMAN antibody, TMEM14A antibody, Transmembrane protein 14A antibody
UniProt
Q9Y6G1
Vus récemment
(cache)
Chat with us , powered by LiveChat