×
Pour une meilleure utilisation, nous vous conseillons d’activer Javascript dans votre navigateur.
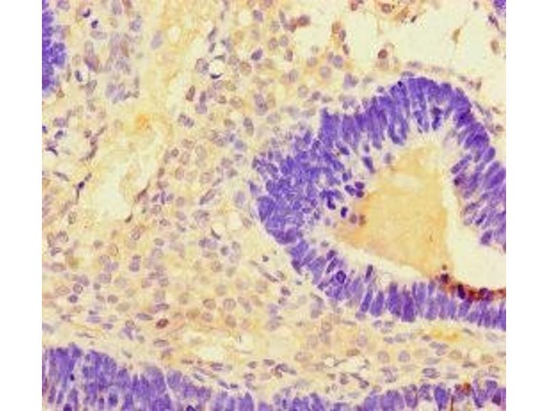
TMEM207 anticorps (AA 73-146)
L’anticorps anti-TMEM207 Polyclonal Lapin est utilisé pour la détection de TMEM207 dans des échantillons de Humain. Il a été validé pour ELISA, IHC et IF.
N° du produit ABIN7173135
328,90 €
Plus frais de livraison 40,00 € et TVA
50 μg ABIN7349287
100 μg ABIN7173135
50 μg ABIN7349287
100 μg ABIN7173135
Envoi sous 11 à 15 jours ouvrables
Aperçu rapide pour TMEM207 anticorps (AA 73-146) (ABIN7173135)
Antigène
TMEM207
(Transmembrane Protein 207 (TMEM207))
Reactivité
Humain
Hôte
Toutes les hôtes sur TMEM207 Anticorps
Lapin
Clonalité
Toutes les clonalités sur TMEM207 Anticorps
Polyclonal
Conjugué
Tous les conjugués à travers TMEM207 Anticorps
Cet anticorp TMEM207 est non-conjugé
Application
ELISA, Immunohistochemistry (IHC), Immunofluorescence (IF)
Détail du produit anti-TMEM207 anticorps
(cache)
Épitope
AA 73-146
Fonction
TMEM207 Antibody
Purification
Protein G purified
Pureté
>95 %
Immunogène
Recombinant Human Transmembrane protein 207 protein (73-146AA)
Isotype
IgG
Alternatives
(show)
Information d'application
(cache)
Indications d'application
Optimal working dilution should be determined by the investigator.
Restrictions
For Research Use only
Stockage
(cache)
Format
Liquid
Buffer
Preservative: 0.03 % Proclin 300 Constituents: 50 % Glycerol, 0.01M PBS, PH 7.4
Agent conservateur
ProClin
Précaution d'utilisation
This product contains ProClin: a POISONOUS AND HAZARDOUS SUBSTANCE which should be handled by trained staff only.
Stock
-20 °C,-80 °C
Stockage commentaire
Upon receipt, store at -20°C or -80°C. Avoid repeated freeze.
Détails sur TMEM207
(cache)
Antigène
TMEM207
(Transmembrane Protein 207 (TMEM207))
Autre désignation
TMEM207
Sujet
SRSR846 antibody, TM207_HUMAN antibody, Tmem207 antibody, Transmembrane protein 207 antibody, UNQ846 antibody
UniProt
Q6UWW9
Vus récemment
(cache)
Chat with us , powered by LiveChat