Tel:
+49 (0)241 95 163 153
Fax:
+49 (0)241 95 163 155
E-Mail:
orders@anticorps-enligne.fr

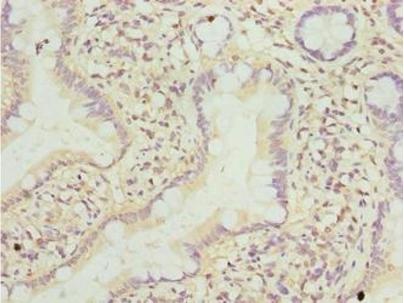
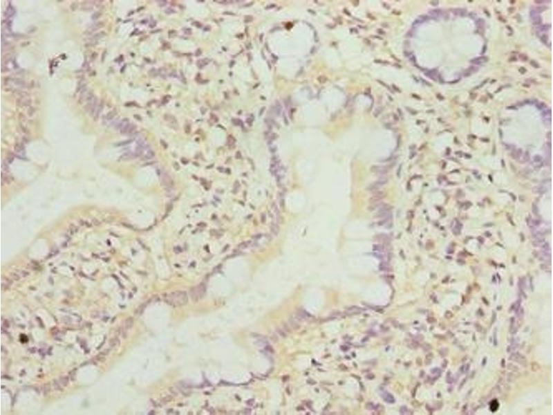
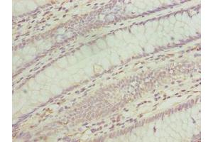
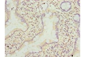
TMEM243 anticorps (AA 1-31)

Cet anticorps Lapin Polyclonal détecte spécifiquement TMEM243 dans ELISA, IHC et IF. Il présente une réactivité avec des échantillons de Humain.
N° du produit ABIN7173167
328,90 €
Plus frais de livraison 40,00 € et TVA
Destination: France
Envoi sous 11 à 15 jours ouvrables

Aperçu rapide pour TMEM243 anticorps (AA 1-31) (ABIN7173167)

Antigène

TMEM243 (Transmembrane Protein 243, Mitochondrial (TMEM243))

Reactivité

Humain

Hôte

  • 5
Lapin

Clonalité

  • 5
Polyclonal

Conjugué

  • 2
  • 1
  • 1
  • 1
Cet anticorp TMEM243 est non-conjugé

Application

ELISA, Immunohistochemistry (IHC), Immunofluorescence (IF)
  • Épitope

    • 4
    • 1
    AA 1-31

    Fonction

    TMEM243 Antibody

    Purification

    Protein G purified

    Pureté

    >95 %

    Immunogène

    Recombinant Human Transmembrane protein 243 protein (1-31AA)

    Isotype

    IgG
  • Indications d'application

    Optimal working dilution should be determined by the investigator.

    Restrictions

    For Research Use only
  • Format

    Liquid

    Buffer

    Preservative: 0.03 % Proclin 300
    Constituents: 50 % Glycerol, 0.01M PBS, PH 7.4

    Agent conservateur

    ProClin

    Précaution d'utilisation

    This product contains ProClin: a POISONOUS AND HAZARDOUS SUBSTANCE which should be handled by trained staff only.

    Stock

    -20 °C,-80 °C

    Stockage commentaire

    Upon receipt, store at -20°C or -80°C. Avoid repeated freeze.
  • Antigène

    TMEM243 (Transmembrane Protein 243, Mitochondrial (TMEM243))

    Autre désignation

    TMEM243

    Sujet

    TMEM243 antibody, C7orf23 antibody, Transmembrane protein 243 antibody, MDR1- and mitochondrial taxol resistance-associated protein antibody, MM-TRAG antibody

    UniProt

    Q9BU79
Vous êtes ici:
Chat with us!