×
Pour une meilleure utilisation, nous vous conseillons d’activer Javascript dans votre navigateur.
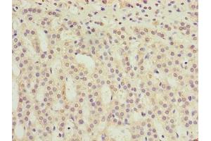
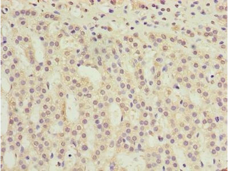
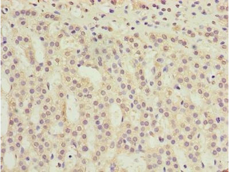
TMEM31 anticorps (AA 1-118)
Cet anticorps anti-TMEM31 Polyclonal Lapin (ABIN7173199) détecte spécifiquement TMEM31 dans ELISA, IHC et IF.
L’anticorps est réactif avec des échantillons de Humain.
N° du produit ABIN7173199
394,68 €
Plus frais de livraison 40,00 € et TVA
50 μg ABIN7349311
100 μg ABIN7173199
50 μg ABIN7349311
100 μg ABIN7173199
Envoi sous 11 à 15 jours ouvrables
Aperçu rapide pour TMEM31 anticorps (AA 1-118) (ABIN7173199)
Antigène
TMEM31
(Transmembrane Protein 31 (TMEM31))
Reactivité
Humain
Hôte
Toutes les hôtes sur TMEM31 Anticorps
Lapin
Clonalité
Toutes les clonalités sur TMEM31 Anticorps
Polyclonal
Conjugué
Tous les conjugués à travers TMEM31 Anticorps
Cet anticorp TMEM31 est non-conjugé
Application
ELISA, Immunohistochemistry (IHC), Immunofluorescence (IF)
Détail du produit anti-TMEM31 anticorps
(cache)
Épitope
AA 1-118
Fonction
TMEM31 Antibody
Purification
Antigen Affinity Purified
Immunogène
Recombinant Human Transmembrane protein 31 protein (1-118AA)
Isotype
IgG
Alternatives
(show)
Information d'application
(cache)
Indications d'application
Optimal working dilution should be determined by the investigator.
Restrictions
For Research Use only
Stockage
(cache)
Format
Liquid
Buffer
Preservative: 0.03 % Proclin 300 Constituents: 50 % Glycerol, 0.01M PBS, PH 7.4
Agent conservateur
ProClin
Précaution d'utilisation
This product contains ProClin: a POISONOUS AND HAZARDOUS SUBSTANCE which should be handled by trained staff only.
Stock
-20 °C,-80 °C
Stockage commentaire
Upon receipt, store at -20°C or -80°C. Avoid repeated freeze.
Détails sur TMEM31
(cache)
Antigène
TMEM31
(Transmembrane Protein 31 (TMEM31))
Autre désignation
TMEM31
Sujet
TMEM31 antibody, Transmembrane protein 31 antibody
UniProt
Q5JXX7
Vus récemment
(cache)
Chat with us , powered by LiveChat