×
Pour une meilleure utilisation, nous vous conseillons d’activer Javascript dans votre navigateur.
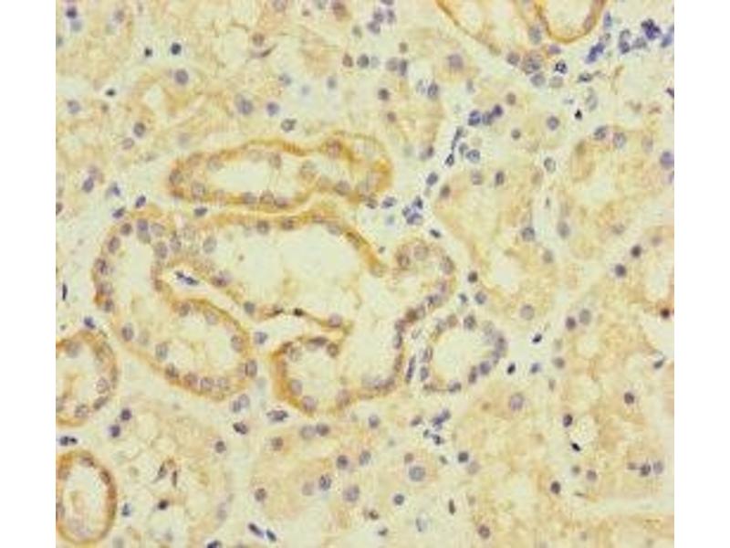
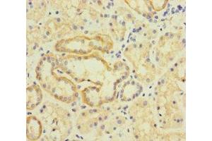
TMEM95 anticorps (AA 17-145)
L’anticorps anti-TMEM95 Polyclonal Lapin est utilisé pour la détection de TMEM95 dans des échantillons de Humain. Il a été validé pour ELISA, IHC et IF.
N° du produit ABIN7173297
328,90 €
Plus frais de livraison 40,00 € et TVA
50 μg ABIN7349395
100 μg ABIN7173297
50 μg ABIN7349395
100 μg ABIN7173297
Envoi sous 11 à 15 jours ouvrables
Aperçu rapide pour TMEM95 anticorps (AA 17-145) (ABIN7173297)
Antigène
TMEM95
(Transmembrane Protein 95 (TMEM95))
Reactivité
Toutes les réactivités sur TMEM95 Anticorps
Humain
Hôte
Toutes les hôtes sur TMEM95 Anticorps
Lapin
Clonalité
Toutes les clonalités sur TMEM95 Anticorps
Polyclonal
Conjugué
Tous les conjugués à travers TMEM95 Anticorps
Cet anticorp TMEM95 est non-conjugé
Application
ELISA, Immunohistochemistry (IHC), Immunofluorescence (IF)
Détail du produit anti-TMEM95 anticorps
(cache)
Épitope
Tous les épitopes à travers TMEM95 Anticorps.
AA 17-145
Fonction
TMEM95 Antibody
Purification
Protein G purified
Pureté
>95 %
Immunogène
Recombinant Human Transmembrane protein 95 protein (17-145AA)
Isotype
IgG
Alternatives
(show)
Information d'application
(cache)
Indications d'application
Optimal working dilution should be determined by the investigator.
Restrictions
For Research Use only
Stockage
(cache)
Format
Liquid
Buffer
Preservative: 0.03 % Proclin 300 Constituents: 50 % Glycerol, 0.01M PBS, PH 7.4
Agent conservateur
ProClin
Précaution d'utilisation
This product contains ProClin: a POISONOUS AND HAZARDOUS SUBSTANCE which should be handled by trained staff only.
Stock
-20 °C,-80 °C
Stockage commentaire
Upon receipt, store at -20°C or -80°C. Avoid repeated freeze.
Détails sur TMEM95
(cache)
Antigène
TMEM95
(Transmembrane Protein 95 (TMEM95))
Autre désignation
TMEM95
Sujet
TMEM95 antibody, UNQ9390/PRO34281 antibody, Transmembrane protein 95 antibody
UniProt
Q3KNT9
Vus récemment
(cache)
Chat with us , powered by LiveChat