×
Pour une meilleure utilisation, nous vous conseillons d’activer Javascript dans votre navigateur.
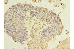
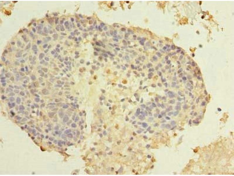
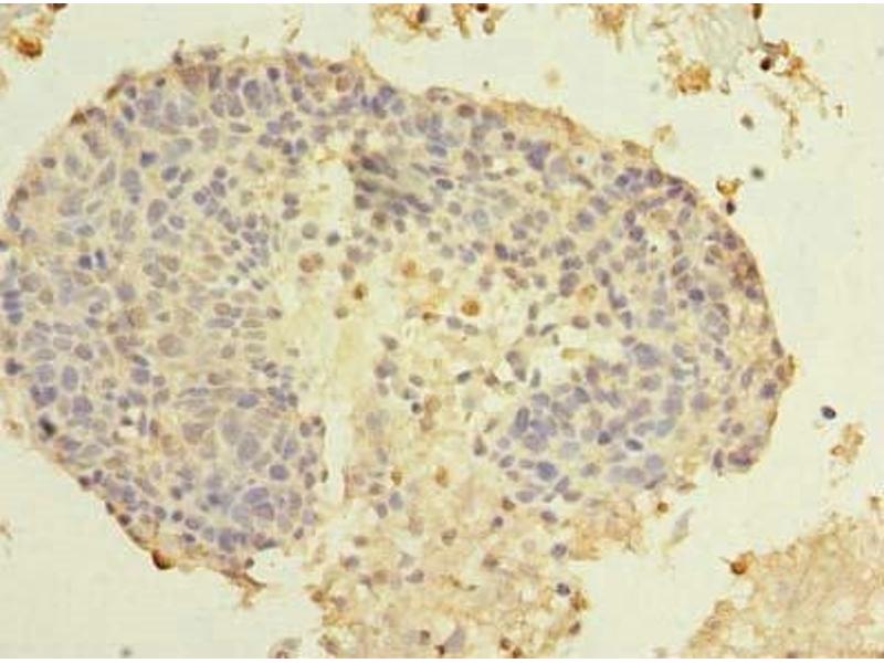
TRIM51 anticorps (AA 160-452)
L’anticorps anti-TRIM51 Polyclonal Lapin est utilisé pour la détection de TRIM51 dans des échantillons de Humain. Il a été validé pour ELISA, WB et IHC.
N° du produit ABIN7173459
328,90 €
Plus frais de livraison 40,00 € et TVA
50 μg ABIN7359630
100 μg ABIN7173459
50 μg ABIN7359630
100 μg ABIN7173459
Envoi sous 11 à 15 jours ouvrables
Aperçu rapide pour TRIM51 anticorps (AA 160-452) (ABIN7173459)
Antigène
TRIM51
(Tripartite Motif Containing 51 (TRIM51))
Reactivité
Toutes les réactivités sur TRIM51 Anticorps
Humain
Hôte
Toutes les hôtes sur TRIM51 Anticorps
Lapin
Clonalité
Toutes les clonalités sur TRIM51 Anticorps
Polyclonal
Conjugué
Tous les conjugués à travers TRIM51 Anticorps
Cet anticorp TRIM51 est non-conjugé
Application
Tous les applications à travers TRIM51 Anticorps.
ELISA, Western Blotting (WB), Immunohistochemistry (IHC)
Détail du produit anti-TRIM51 anticorps
(cache)
Épitope
Tous les épitopes à travers TRIM51 Anticorps.
AA 160-452
Fonction
TRIM51 Antibody
Purification
Antigen Affinity Purified
Immunogène
Recombinant Human Tripartite motif-containing protein 51 protein (160-452AA)
Isotype
IgG
Alternatives
(show)
Information d'application
(cache)
Indications d'application
Optimal working dilution should be determined by the investigator.
Restrictions
For Research Use only
Stockage
(cache)
Format
Liquid
Buffer
Preservative: 0.03 % Proclin 300 Constituents: 50 % Glycerol, 0.01M PBS, PH 7.4
Agent conservateur
ProClin
Précaution d'utilisation
This product contains ProClin: a POISONOUS AND HAZARDOUS SUBSTANCE which should be handled by trained staff only.
Stock
-20 °C,-80 °C
Stockage commentaire
Upon receipt, store at -20°C or -80°C. Avoid repeated freeze.
Détails sur TRIM51
(cache)
Antigène
TRIM51
(Tripartite Motif Containing 51 (TRIM51))
Autre désignation
TRIM51
Sujet
MGC10977 antibody, SPRY domain containing 5 antibody, SPRY domain containing protein 5 antibody, SPRY domain-containing protein 5 antibody, SPRY5_HUMAN antibody, SPRYD5 antibody, TRIM51 antibody, TRIM51A antibody, Tripartite motif containing 51 antibody, Tripartite motif containing protein 51 antibody, Tripartite motif-containing protein 51 antibody
UniProt
Q9BSJ1
Vus récemment
(cache)
Chat with us , powered by LiveChat