Tel:
+49 (0)241 95 163 153
Fax:
+49 (0)241 95 163 155
E-Mail:
orders@anticorps-enligne.fr

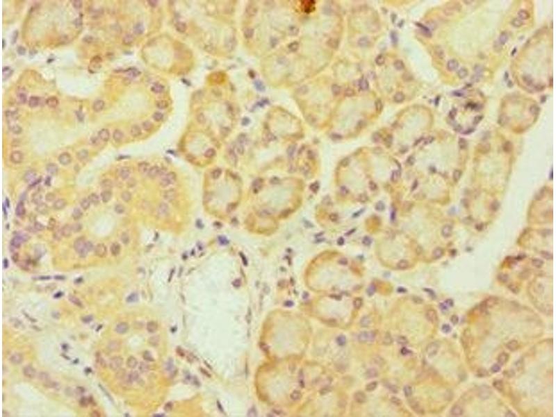
FES anticorps (AA 120-420)

Cet anticorps Lapin Polyclonal détecte spécifiquement FES dans ELISA et IHC. Il présente une réactivité avec des échantillons de Humain.
N° du produit ABIN7174019
328,90 €
Plus frais de livraison 40,00 € et TVA
Destination: France
Envoi sous 11 à 15 jours ouvrables

Aperçu rapide pour FES anticorps (AA 120-420) (ABIN7174019)

Antigène

Voir toutes FES Anticorps
FES (Feline Sarcoma Oncogene (FES))

Reactivité

  • 41
  • 22
  • 16
  • 4
  • 4
  • 4
  • 4
  • 4
  • 3
  • 3
  • 2
  • 1
  • 1
  • 1
Humain

Hôte

  • 36
  • 6
  • 1
Lapin

Clonalité

  • 38
  • 5
Polyclonal

Conjugué

  • 29
  • 2
  • 2
  • 2
  • 2
  • 2
  • 2
  • 2
Cet anticorp FES est non-conjugé

Application

  • 28
  • 11
  • 10
  • 5
  • 4
  • 3
  • 2
  • 1
  • 1
  • 1
  • 1
ELISA, Immunohistochemistry (IHC)
  • Épitope

    • 7
    • 3
    • 2
    • 1
    • 1
    • 1
    • 1
    • 1
    • 1
    • 1
    • 1
    • 1
    • 1
    • 1
    • 1
    • 1
    • 1
    • 1
    • 1
    AA 120-420

    Fonction

    FES Antibody

    Purification

    Antigen Affinity Purified

    Immunogène

    Recombinant Human Tyrosine-protein kinase Fes/Fps protein (120-420AA)

    Isotype

    IgG
  • Indications d'application

    Optimal working dilution should be determined by the investigator.

    Restrictions

    For Research Use only
  • Format

    Liquid

    Buffer

    PBS with 0.02 % sodium azide, 50 % glycerol, pH 7.3.

    Agent conservateur

    Sodium azide

    Précaution d'utilisation

    This product contains Sodium azide: a POISONOUS AND HAZARDOUS SUBSTANCE which should be handled by trained staff only.

    Stock

    -20 °C,-80 °C

    Stockage commentaire

    Upon receipt, store at -20°C or -80°C. Avoid repeated freeze.
  • Antigène

    FES (Feline Sarcoma Oncogene (FES))

    Autre désignation

    FES

    Sujet

    Background: Tyrosine-protein kinase that acts downstream of cell surface receptors and plays a role in the regulation of the actin cytoskeleton, microtubule assembly, cell attachment and cell spreading. Plays a role in FCER1 (high affinity immunoglobulin epsilon receptor)-mediated signaling in mast cells. Acts down-stream of the activated FCER1 receptor and the mast/stem cell growth factor receptor KIT. Plays a role in the regulation of mast cell degranulation. Plays a role in the regulation of cell differentiation and promotes neurite outgrowth in response to NGF signaling. Plays a role in cell scattering and cell migration in response to HGF-induced activation of EZR. Phosphorylates BCR and down-regulates BCR kinase activity. Phosphorylates HCLS1/HS1, PECAM1, STAT3 and TRIM28.

    Aliases: c-fes/fps protein antibody, cFES antibody, Feline sarcoma (Snyder Theilen) viral (v fes)/Fujinami avian sarcoma (PRCII) viral (v fps) oncogene homolog antibody, feline sarcoma (Snyder-Theilen) viral (v-fes)/Fujinami antibody, Feline sarcoma oncogene antibody, Feline sarcoma/Fujinami avian sarcoma oncogene homolog antibody, fes antibody, FES proto oncogene, tyrosine kinase antibody, FES_HUMAN antibody, FPS antibody, Oncogene FES antibody, Oncogene FES feline sarcoma virus antibody, P93c fes antibody, Proto oncogene tyrosine protein kinase Fes/Fps antibody, Proto-oncogene c-Fes antibody, Proto-oncogene c-Fps antibody, proto-oncogene tyrosine-protein kinase Fes/Fps antibody, Tyrosine-protein kinase Fes/Fps antibody

    UniProt

    P07332

    Pathways

    Regulation of Leukocyte Mediated Immunity, Positive Regulation of Immune Effector Process, Signaling Events mediated by VEGFR1 and VEGFR2
Vous êtes ici:
Chat with us!