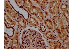
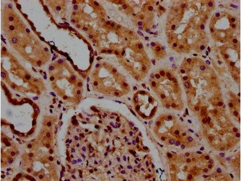
NAA38 anticorps (AA 2-96)
Aperçu rapide pour NAA38 anticorps (AA 2-96) (ABIN7174204)
Antigène
Voir toutes NAA38 AnticorpsReactivité
Hôte
Clonalité
Conjugué
Application
-
-
Épitope
- AA 2-96
-
Fonction
- LSM8 Antibody
-
Purification
- Protein G purified
-
Pureté
- >95 %
-
Immunogène
- Recombinant Human U6 snRNA-associated Sm-like protein LSm8 protein (2-96AA)
-
Isotype
- IgG
-
-
-
-
Indications d'application
- Optimal working dilution should be determined by the investigator.
-
Restrictions
- For Research Use only
-
-
-
Format
- Liquid
-
Buffer
-
Preservative: 0.03 % Proclin 300
Constituents: 50 % Glycerol, 0.01M PBS, pH 7.4 -
Agent conservateur
- ProClin
-
Précaution d'utilisation
- This product contains ProClin: a POISONOUS AND HAZARDOUS SUBSTANCE which should be handled by trained staff only.
-
Stock
- -20 °C,-80 °C
-
Stockage commentaire
- Upon receipt, store at -20°C or -80°C. Avoid repeated freeze.
-
-
- NAA38 (N(alpha)-Acetyltransferase 38, NatC Auxiliary Subunit (NAA38))
-
Autre désignation
- LSM8
-
Sujet
-
Background: Binds specifically to the 3\\\'-terminal U-tract of U6 snRNA and is probably a component of the spliceosome.
Aliases: LSM8U6 snRNA-associated Sm-like protein LSm8 antibody
-
UniProt
- O95777
Antigène
-